Promotional price valid on web orders only. Your contract pricing may differ. Interested in signing up for a dedicated account number?
Learn More
Learn More
Invitrogen™ c-MAF Polyclonal Antibody

Rabbit Polyclonal Antibody
Supplier: Invitrogen™ PA523179
Description
Sequence homology: Chimpanzee (87%), Bovine/Equine (81%).
c-maf is the cellular counterpart of oncogenic v-maf that belongs to the family of basic region leucine zipper domain transcription factors. The leucine-zipper domain is involved in the interaction with LRPICD. There are two forms of human c-maf mRNA, c-maf-long and c-maf-short. It is identified in the genome of the acute transforming avian retrovirus AS42. c-maf targets are IL-4 in Th2 cells, the crystalline genes in lens fiber cells, insulin gene in islet, p53 and L7 where it exerts its transcriptional role through binding to a Maf recognition element (MARE). It regulates Th2 differentiation and lineage-specific hematopoiesis. c-maf is a transcription factor for IL-10 gene expression in LPS-activated macrophages. Chromosomal aberration involving maf is found in some forms of multiple myeloma. It is expressed in myeloma cell lines and resting monocytes/macrophages.
Specifications
| c-MAF | |
| Polyclonal | |
| Unconjugated | |
| MAF | |
| 2810401A20Rik; A230108G15Rik; Avian musculoaponeurotic fibrosarcoma (MAF) protooncogene; avian musculoaponeurotic fibrosarcoma (v-maf) AS42 oncogene homolog; AW047063; AYGRP; basic domain leucine zipper transcription factor; CCA4; cMaf; C-Maf; c-Maf long form; c-maf proto-oncogene; CTRCT21; fl13d12; hMafA; LOW QUALITY PROTEIN: transcription factor Maf; LOW QUALITY PROTEIN: transcription factor MafA; maf; MAF bZIP transcription factor; MAF bZIP transcription factor A; maf protein; Maf2; MAFA; Mafa homolog; MGC71685; pancreatic beta-cell-specific transcriptional activator; Proto-oncogene c-Maf; RGD1562627; RIPE3b1; RIPE3b1 factor; T lymphocyte c-maf long form; transcription factor Maf; Transcription factor Maf-2; transcription factor MafA; transcription factor RIPE3b1; v-maf avian musculoaponeurotic fibrosarcoma oncogene A; v-maf avian musculoaponeurotic fibrosarcoma oncogene homolog; v-maf avian musculoaponeurotic fibrosarcoma oncogene homolog A; v-maf avian musculoaponeurotic fibrosarcoma oncogene homolog a (paralog a); v-maf musculoaponeurotic fibrosarcoma oncogene family, protein A; v-maf musculoaponeurotic fibrosarcoma oncogene family, protein A (avian); v-maf musculoaponeurotic fibrosarcoma oncogene homolog; V-maf musculoaponeurotic fibrosarcoma oncogene homolog A; wu:fl13d12; Z-cmaf | |
| Rabbit | |
| Antigen affinity chromatography | |
| RUO | |
| 17132, 4094, 54267, 782481 | |
| Store at 4°C short term. For long term storage, store at -20°C, avoiding freeze/thaw cycles. | |
| Liquid |
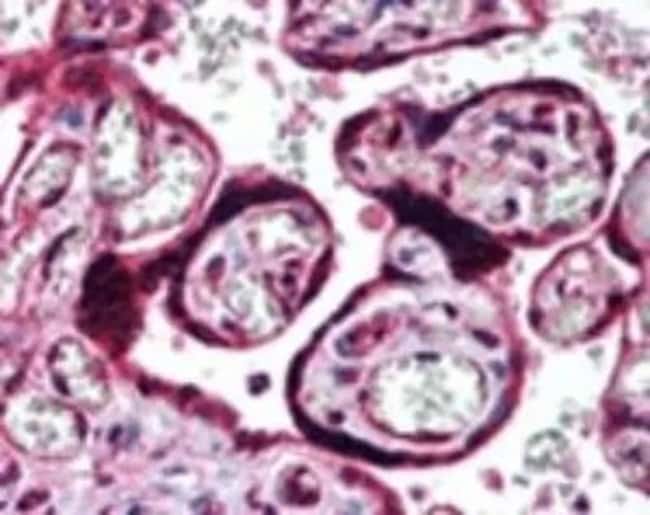
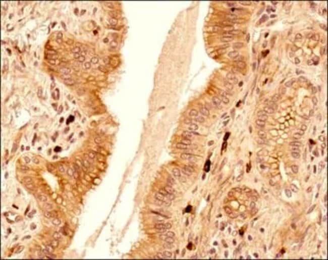
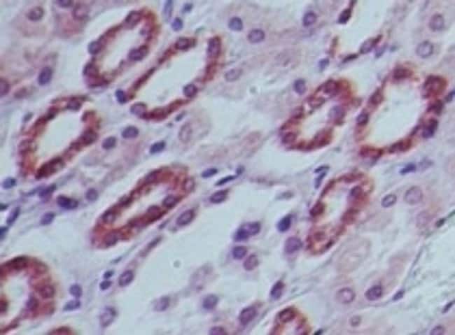
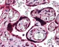
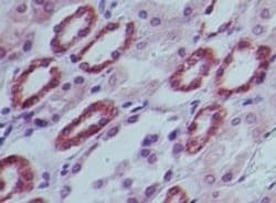
| Immunohistochemistry (Paraffin), Western Blot, Immunocytochemistry | |
| 1.0 mg/mL | |
| PBS with 0.05% sodium azide | |
| A7Z017, O75444, P54843, P54844 | |
| MAF | |
| A synthetic peptide corresponding to amino acids 75-110 of human c-maf. | |
| 100 μg | |
| Primary | |
| Human, Mouse, Rat, Bovine | |
| Antibody | |
| IgG |
Product Content Correction
Your input is important to us. Please complete this form to provide feedback related to the content on this product.
Product Title
Spot an opportunity for improvement?Share a Content Correction