Promotional price valid on web orders only. Your contract pricing may differ. Interested in signing up for a dedicated account number?
Learn More
Learn More
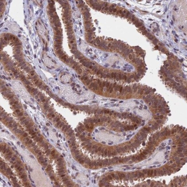
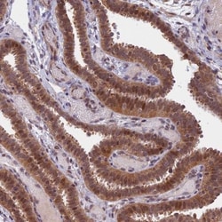
CCDC113 Antibody, Novus Biologicals™

Rabbit Polyclonal Antibody
Supplier: Novus Biologicals NBP214444
Description
CCDC113 Polyclonal specifically detects CCDC113 in Human samples. It is validated for Immunohistochemistry, Immunocytochemistry/Immunofluorescence, Immunohistochemistry-Paraffin.Specifications
CCDC113 | |
Polyclonal | |
Immunohistochemistry 1:200 - 1:500, Immunocytochemistry/Immunofluorescence 1 - 4 ug/ml, Immunohistochemistry-Paraffin 1:200 - 1:500 | |
coiled-coil domain containing 113, coiled-coil domain-containing protein 113, DKFZp434N1418, FLJ23555, HSPC065 | |
Rabbit | |
Affinity Purified | |
RUO | |
29070 | |
Human | |
IgG |
Immunohistochemistry, Immunocytochemistry, Immunofluorescence, Immunohistochemistry (Paraffin) | |
Unconjugated | |
PBS (pH 7.2) and 40% Glycerol with 0.02% Sodium Azide | |
CCDC113 | |
This antibody was developed against a recombinant protein corresponding to the amino acids: KSRTGMDRGVGLTADQKLELVQKEVADMKDDLRHTRANAERDLQHHEAIIEEAEIRWSEVSREVHEFEKDILKAISKKKGSIL | |
0.1 mL | |
Primary | |
Specificity of antibody verified on a Protein Array containing target protein plus 383 other non-specific proteins. | |
Store at 4C short term. Aliquot and store at -20C long term. Avoid freeze-thaw cycles. |
Product Content Correction
Your input is important to us. Please complete this form to provide feedback related to the content on this product.
Product Title
For Research Use Only
Spot an opportunity for improvement?Share a Content Correction