Promotional price valid on web orders only. Your contract pricing may differ. Interested in signing up for a dedicated account number?
Learn More
Learn More
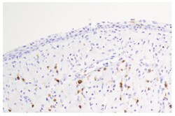
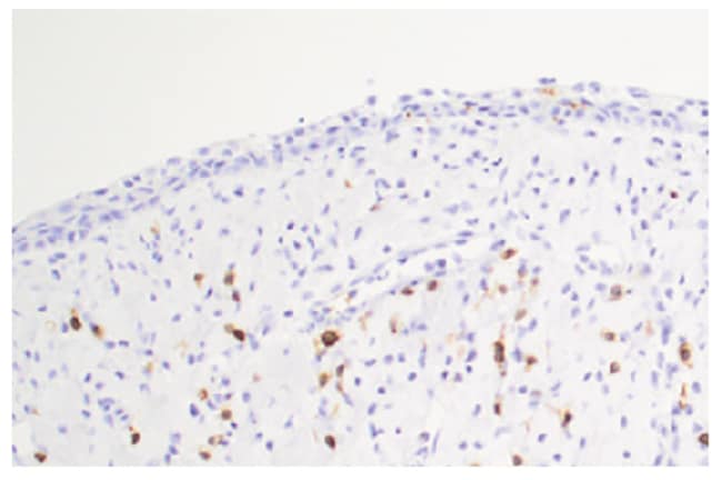
CD3ε Mouse anti-Porcine, Unconjugated, Clone: PPT3, Southern Biotech™

Mouse Monoclonal Antibody
Supplier: Southern Biotechnology Associates 451001
Description
SouthernBiotech anti-porcine primary antibodies are available in a variety of conjugated formats including Alexa Fluor.
Specifications
| CD3ε | |
| Monoclonal | |
| 0.5mg/mL | |
| Supplied in borate buffered saline, pH 8.2; No preservatives or amine-containing buffer salts added | |
| Purified CD3 molecules from porcine thymus | |
| RUO | |
| Pig | |
| Liquid |
| Cytotoxicity Assay, Flow Cytometry, Immunohistochemistry (Frozen), Immunohistochemistry (Paraffin), Immunoprecipitation, Functional Assay, Western Blot | |
| PPT3 | |
| Unconjugated | |
| Mouse | |
| 0.5 mg | |
| Primary | |
| Store at 2-8°C | |
| IgG1 |
Product Content Correction
Your input is important to us. Please complete this form to provide feedback related to the content on this product.
Product Title
Spot an opportunity for improvement?Share a Content Correction