Promotional price valid on web orders only. Your contract pricing may differ. Interested in signing up for a dedicated account number?
Learn More

DOK2 Rabbit anti-Human, Polyclonal, Invitrogen™

Rabbit Polyclonal Antibody

Supplier:  Thermo Scientific PA532385

Catalog No. PIPA532385


Description

Description

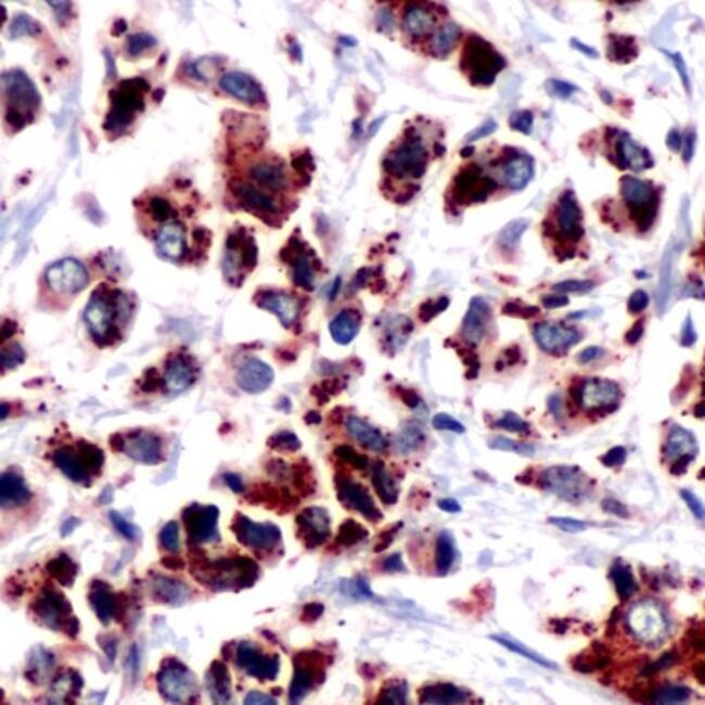
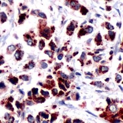
Heat-mediated antigen retrieval is recommended prior to staining, using a 10mM citrate buffer, pH 6.0, for 10 minutes followed by cooling at room temperature for 20 min. Following antigen retrieval, incubate samples with primary antibody for 10 min at room temperature. A suggested positive control is breast carcinoma.

Docking proteins interact with receptor tyrosine kinases and mediate particular biological responses using signal transduction. DOK-2 acts as a multiple docking protein downstream of receptor or non-receptor tyrosine kinases. By this mechanism it acts to negatively regulate signal transduction and cell proliferation controlled by cytokines in a feedback loop. DOK-2 is highly expressed in cells and tissues of hematopoietic origin as well as in lung.
TRUSTED_SUSTAINABILITY
Specifications

Specifications

DOK2
Polyclonal
DOK2
p56DOK, p56dok-2, docking protein 2, downstream of tyrosine kinase 2, p56dok-2
Rabbit
Antigen affinity chromatography
RUO
9046
4° C, do not freeze
Liquid
Immunohistochemistry (Paraffin)
Unconjugated
O60496
DOK2
Synthetic peptide corresponding to C-terminus of human DOK-2 protein.
500 μL
Primary
Human
Antibody
IgG
Product Suggestions

Product Suggestions

Videos
SDS
Documents

Documents

Product Certifications
Promotions

Promotions

Product Content Correction

Your input is important to us. Please complete this form to provide feedback related to the content on this product.

Product Title

By clicking Submit, you acknowledge that you may be contacted by Fisher Scientific in regards to the feedback you have provided in this form. We will not share your information for any other purposes. All contact information provided shall also be maintained in accordance with our Privacy Policy.

Your feedback has been submitted: Thank you for helping us improve our website.