Promotional price valid on web orders only. Your contract pricing may differ. Interested in signing up for a dedicated account number?
Learn More

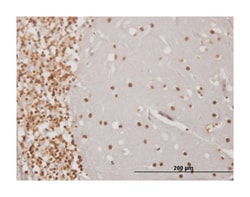
engrailed homeobox 1, Mouse, Clone: 3H2, Abnova™

Mouse monoclonal antibody raised against a full-length recombinant EN1.

Supplier:  Abnova Corporation H00002019M04

Catalog No. 89-000-626


Only null left
Add to Cart

Description

Description

Homeobox-containing genes are thought to have a role in controlling development. In Drosophila, the 'engrailed' (en) gene plays an important role during development in segmentation, where it is required for the formation of posterior compartments. Different mutations in the mouse homologs, En1 and En2, produced different developmental defects that frequently are lethal. The human engrailed homologs 1 and 2 encode homeodomain-containing proteins and have been implicated in the control of pattern formation during development of the central nervous system. [provided by RefSeq]

Sequence: SQQPLVWPAWVYCTRYSDRPSSGPRTRKLKKKKNEKEDKRPRTAFTAEQLQRLKAEFQANRYITEQRRQTLAQELSLNESQIKIWFQNKRAKIKKATGIKNGLALHLMAQGLYNHSTTTVQDKDESE*
Specifications

Specifications

engrailed homeobox 1
Monoclonal
Unconjugated
PBS with no preservative; pH 7.4
NM_001426
Mouse
Affinity Purified
RUO
Primary
Human
Antibody
ELISA, Immunohistochemistry (PFA fixed), Western Blot
3H2
Mouse monoclonal antibody raised against a full length recombinant EN1.
EN1
EN1
EN1 (NP_001417, 266 a.a. ∼ 392 a.a) full length recombinant protein with GST tag. MW of the GST tag alone is 26 KDa.
100 μg
Yes
2019
Store at -20°C or lower. Aliquot to avoid repeated freezing and thawing.
IgG2a κ
Product Suggestions

Product Suggestions

Videos
SDS
Documents

Documents

Product Certifications
Promotions

Promotions

Product Content Correction

Your input is important to us. Please complete this form to provide feedback related to the content on this product.

Product Title

By clicking Submit, you acknowledge that you may be contacted by Fisher Scientific in regards to the feedback you have provided in this form. We will not share your information for any other purposes. All contact information provided shall also be maintained in accordance with our Privacy Policy.

Your feedback has been submitted: Thank you for helping us improve our website.