Promotional price valid on web orders only. Your contract pricing may differ. Interested in signing up for a dedicated account number?
Learn More
Learn More
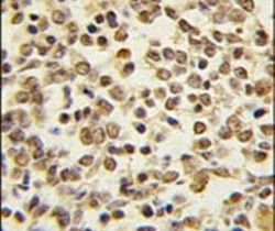
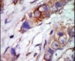
ERK5 Polyclonal Antibody, Invitrogen™
Rabbit Polyclonal Antibody
Supplier: Thermo Scientific PA514416
Description
This antibody is predicted to react with bovine, mouse and rat based on sequence homology.
MAPK7 (ERK5) serine/threonine kinase is a member of the MAP kinase family and is involved in a wide variety of cellular processes such as proliferation, differentiation, transcription regulation and development. MAPK7 is activated by mitogen-activated protein kinase 5 (MAP2K5/MEK5) and is involved in downstream signaling processes of various receptors. In response to extracelluar signals, MAPK7 translocates to the cell nucleus where it regulates gene expression by phosphorylating and activating different transcription factors. Gene deletion of MAPK7 in mice results in defective blood vessel and cardiac development leading to embryonic lethality. MAPK7 has been shown to be critical for endothelial function and maintenance of blood vessel integrity. Four alternatively spliced transcript variants of this gene encoding two distinct isoforms have been reported. ERK5 is expressed in many adult tissues, abundantly in heart, placenta, lung, kidney and skeletal muscle, but is not detectable in liver.
Specifications
ERK5 | |
Polyclonal | |
Unconjugated | |
MAPK7 | |
Big MAP kinase 1; BMK1; BMK-1; BMK1 kinase; BNhp-1; BNhp1 kinase; ERK4; ERK5; ERK-5; Erk5-T; extracellular signal regulated kinase 5; extracellular signal-regulated kinase 5; extracellular-signal-regulated kinase 5; MAP kinase 7; MAPK 7; Mapk7; mitogen activated protein kinase 7; mitogen-activated protein kinase 7; PRKM7 | |
Rabbit | |
Ammonium sulfate precipitation, Size-exclusion - Dialysis | |
RUO | |
5598 | |
-20° C, Avoid Freeze/Thaw Cycles | |
Liquid |
Immunohistochemistry (Paraffin), Western Blot | |
1.1 mg/mL | |
PBS with 0.09% sodium azide | |
Q13164 | |
MAPK7 | |
KLH conjugated synthetic peptide between 776-805 amino acids from the C-terminal region of human MAPK7 | |
400 μL | |
Primary | |
Human | |
Antibody | |
IgG |
Product Content Correction
Your input is important to us. Please complete this form to provide feedback related to the content on this product.
Product Title
Spot an opportunity for improvement?Share a Content Correction