Promotional price valid on web orders only. Your contract pricing may differ. Interested in signing up for a dedicated account number?
Learn More
Learn More
Klotho Antibody, Novus Biologicals™

Goat Polyclonal Antibody
Supplier: Novus Biologicals NB1002432
Description
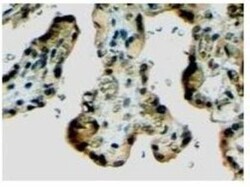
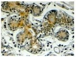
Klotho Polyclonal specifically detects Klotho in Human samples. It is validated for Immunohistochemistry, Immunohistochemistry-Paraffin, Peptide ELISA.Specifications
| Klotho | |
| Polyclonal | |
| Unconjugated | |
| Tris saline (20 mM Tris pH 7.3, 150 mM NaCl), 0.5% BSA with 0.02% Sodium Azide | |
| EC 3.2.1, EC 3.2.1.31, klotho | |
| Goat | |
| Affinity Purified | |
| RUO | |
| 9365 | |
| Human | |
| IgG |
| Immunohistochemistry, Immunohistochemistry (Paraffin), ELISA | |
| 0.5 mg/mL | |
| Immunohistochemistry 4 - 6 ug/ml, Immunohistochemistry-Paraffin 4 - 6 ug/ml, Peptide ELISA Detection limit 1:4000 | |
| Q9UEF7 | |
| KL | |
| Peptide with sequence C-KRDDAKYMYYLKK corresponding to internal region according to NP_004786.2, NP_710150.1. | |
| 0.1 mg | |
| Primary | |
| This antibody is expected to recognize both reported isoforms (NP_004786.2; NP_710150.1). | |
| Store at -20C. Avoid freeze-thaw cycles. |
Product Content Correction
Your input is important to us. Please complete this form to provide feedback related to the content on this product.
Product Title
For Research Use Only
Spot an opportunity for improvement?Share a Content Correction