Promotional price valid on web orders only. Your contract pricing may differ. Interested in signing up for a dedicated account number?
Learn More
Learn More
Invitrogen™ LFG Polyclonal Antibody

Rabbit Polyclonal Antibody
Supplier: Invitrogen™ PA520311
Description
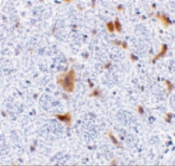
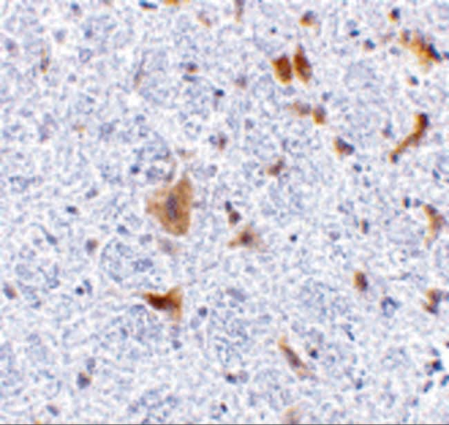
A suggested positive control is EL4 cell lysate. PA5-20311 can be used with blocking peptide PEP-0431.
LFG, a seven transmembrane spanning protein, is a recently identified member of a family whose members can inhibit apoptotic cell death induced by Fas receptor. LFG is a human homolog of rat NMP35 and consists of a conserved transmembrane domain and a small cytoplasmic domain. Reports have shown that LFG protects the cell from Fas-mediated neuronal cell death in a novel way. LFG binds to Fas receptor but doesn't have any effect in reducing Fas expression or decreasing the ability of FADD binding to the receptor. Furthermore, LFG doesn't protect the cells from TNF-alpha mediated cell death process. Although LFG is ubiquitously expressed, Northern blot analysis detected an increased expression in hippocampus and other neural tissues, suggesting a protective role in neurodegenerative diseases.
Specifications
LFG | |
Polyclonal | |
Unconjugated | |
FAIM2 | |
2900002L20Rik; FAIM2; Fas apoptotic inhibitory molecule 2; fas apoptotic inhibitory molecule 2; protein lifeguard 2; Kiaa0950; Lfg; LFG2; lifeguard; neural membrane protein 35; NGP35; NMP25; Nmp35; protein lifeguard; protein lifeguard 2; TMBIM2; transmembrane BAX inhibitor motif-containing protein 2 | |
Rabbit | |
Antigen affinity chromatography | |
RUO | |
23017, 246274, 72393 | |
Maintain refrigerated at 2-8°C for up to 3 months. For long term storage store at -20°C | |
Liquid |
Immunohistochemistry, Western Blot | |
1 mg/mL | |
PBS with 0.02% sodium azide | |
O88407, Q8K097, Q9BWQ8 | |
FAIM2 | |
A 16 amino acid synthetic peptide from near the amino terminus of human FAIM2. | |
100 μg | |
Primary | |
Human, Mouse, Rat | |
Antibody | |
IgG |
Product Content Correction
Your input is important to us. Please complete this form to provide feedback related to the content on this product.
Product Title
Spot an opportunity for improvement?Share a Content Correction