Promotional price valid on web orders only. Your contract pricing may differ. Interested in signing up for a dedicated account number?
Learn More

LIMD1 Rabbit anti-Human, Polyclonal, Invitrogen™

Rabbit Polyclonal Antibody

Supplier:  Thermo Scientific PA532475

Catalog No. PIPA532475


Description

Description

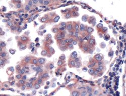
Heat-mediated antigen retrieval is recommended prior to staining, using a 10mM citrate buffer, pH 6.0, for 10 minutes followed by cooling at room temperature for 20 min. Following antigen retrieval, incubate samples with primary antibody for 30 min at room temperature. A suggested positive control is lung tissue.

The Zyxin family of proteins contains five members: Ajuba, Limd1, LPP, TRIP6 and Zyxin. Limd1 (LIM domain-containing protein 1) is a ubiquitously expressed tumor suppressor containing three LIM zinc-binding domains. LIM domains consist of a cysteine-rich consensus sequence containing two distinct zinc-binding subdomains, which mediate protein-protein interactions. Limd1 interacts with the proteins SQSTM1, Rb, p62 and TRAF6. Limd1 was first identified when the deletion of its gene was noted in some cervical cancers. Limd1 blocks in vitro and in vivo tumor growth and is downregulated in lung cancer.
TRUSTED_SUSTAINABILITY
Specifications

Specifications

LIMD1
Polyclonal
LIMD1
LIM domain-containing protein 1
Rabbit
Antigen affinity chromatography
RUO
8994
4° C, do not freeze
Liquid
Immunohistochemistry (Paraffin)
Unconjugated
Q9UGP4
LIMD1
Synthetic peptide derived from N-terminus of human LIMD1 protein.
500 μL
Primary
Human
Antibody
IgG
Product Suggestions

Product Suggestions

Videos
SDS
Documents

Documents

Product Certifications
Promotions

Promotions

Product Content Correction

Your input is important to us. Please complete this form to provide feedback related to the content on this product.

Product Title

By clicking Submit, you acknowledge that you may be contacted by Fisher Scientific in regards to the feedback you have provided in this form. We will not share your information for any other purposes. All contact information provided shall also be maintained in accordance with our Privacy Policy.

Your feedback has been submitted: Thank you for helping us improve our website.