Promotional price valid on web orders only. Your contract pricing may differ. Interested in signing up for a dedicated account number?
Learn More
Learn More
Lysine (K)-specific Demethylase 3A/KDM3A/JMJD1A Antibody - BSA Free, Novus Biologicals™

Rabbit Polyclonal Antibody has been used in 2 publications
Supplier: Novus Biologicals NBP149601
Description
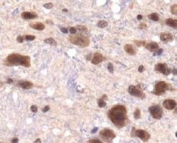
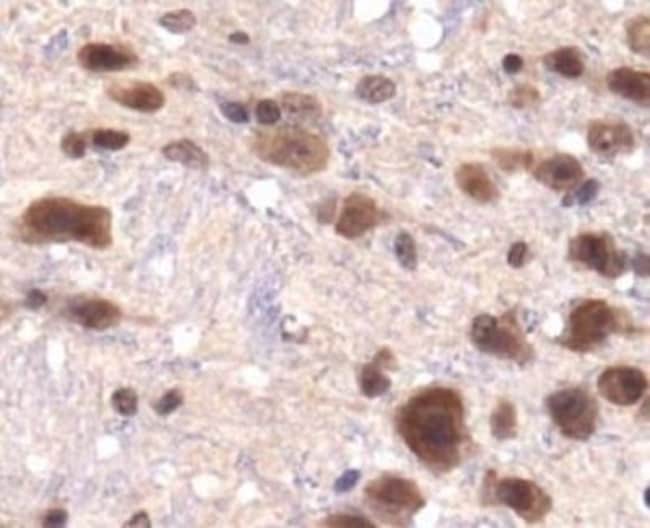
Lysine (K)-specific Demethylase 3A/KDM3A/JMJD1A Polyclonal specifically detects Lysine (K)-specific Demethylase 3A/KDM3A/JMJD1A in Human, Mouse, Rat, Primate samples. It is validated for Western Blot, Immunohistochemistry, Immunocytochemistry/Immunofluorescence, Immunohistochemistry-Paraffin.Specifications
Lysine (K)-specific Demethylase 3A/KDM3A/JMJD1A | |
Polyclonal | |
Unconjugated | |
PBS and 30% Glycerol with 0.05% Sodium Azide | |
EC 1.14.11, EC 1.14.11.-, JHDM2AJMJD1AJHMD2A, JmjC domain-containing histone demethylation protein 2A, JMJD1, jumonji C domain-containing histone demethylase 2A, jumonji domain containing 1, jumonji domain containing 1A, Jumonji domain-containing protein 1A, KIAA0742DKFZp686A24246, lysine (K)-specific demethylase 3A, lysine-specific demethylase 3A, testis-specific protein A, TSGADKFZp686P07111 | |
Rabbit | |
Affinity Purified | |
RUO | |
Primary | |
Human, mouse and primate. Immunogen sequence has 91% homology with rat. | |
Store at 4C short term. Aliquot and store at -20C long term. Avoid freeze-thaw cycles. |
Western Blot, Immunohistochemistry, Immunocytochemistry, Immunofluorescence, Immunohistochemistry (Paraffin) | |
0.53 mg/mL | |
Western Blot 1:5000, Immunohistochemistry 1:50, Immunocytochemistry/Immunofluorescence 1:500-1:2000, Immunohistochemistry-Paraffin 1:50 | |
Q9Y4C1, Q6PCM1 | |
KDM3A | |
A genomic peptide made to an internal region of the human JMJD1A protein (within residues 250-400). [Swiss-Prot Q9Y4C1] | |
0.1 mL | |
Chromatin Modifiers, Epigenetics | |
55818 | |
Human, Mouse, Rat, Primate | |
IgG |
Product Content Correction
Your input is important to us. Please complete this form to provide feedback related to the content on this product.
Product Title
For Research Use Only
Spot an opportunity for improvement?Share a Content Correction