Promotional price valid on web orders only. Your contract pricing may differ. Interested in signing up for a dedicated account number?
Learn More

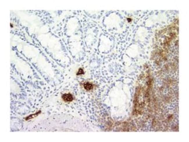
MAdCAM-1 Rat anti-Mouse, Unlabeled, Clone: MECA-367, BD

Rat Monoclonal Antibody

Supplier:  BD Biosciences 550556

Catalog No. BDB550556


Only null left
Add to Cart

Description

Description

The MECA-367 antibody reacts with mucosal vascular addressin MAdCAM-1. In the fetus and neonate, MAdCAM-1 is the predominant vascular addressin on the high endothelial venules (HEV) of peripheral lymph nodes. In adult mice, MAdCAM-1 is preferentially expr

TRUSTED_SUSTAINABILITY
Specifications

Specifications

MAdCAM-1
Monoclonal
31.25μg/mL
Aqueous buffered solution containing BSA, goat serum, and ≤0.09% sodium azide.
Mouse BALB/c mesenteric and peripheral lymph nodes
1 mL
Cell Biology
Mouse
IgG2a κ
Flow Cytometry
MECA-367
Unconjugated
Rat
Affinity Purified
RUO
Primary
Store undiluted at 4°C
Product Suggestions

Product Suggestions

Videos
Safety and Handling

Safety and Handling

WARNING: Reproductive Harm - www.P65Warnings.ca.gov
SDS
Documents

Documents

Product Certifications
Promotions

Promotions

Product Content Correction

Your input is important to us. Please complete this form to provide feedback related to the content on this product.

Product Title

By clicking Submit, you acknowledge that you may be contacted by Fisher Scientific in regards to the feedback you have provided in this form. We will not share your information for any other purposes. All contact information provided shall also be maintained in accordance with our Privacy Policy.

Your feedback has been submitted: Thank you for helping us improve our website.

For Research Use Only.