Promotional price valid on web orders only. Your contract pricing may differ. Interested in signing up for a dedicated account number?
Learn More
Learn More
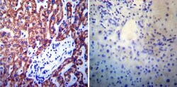
Presenilin-1 Antibody (APS 11), Novus Biologicals™

Mouse Monoclonal Antibody has been used in 2 publications
Supplier: Novus Biologicals NB300749
Description
Presenilin-1 Monoclonal specifically detects Presenilin-1 in Human, Mouse, Rat, Primate samples. It is validated for Western Blot, ELISA, Immunohistochemistry, Immunocytochemistry/Immunofluorescence, Immunoprecipitation, Immunohistochemistry-Paraffin.Specifications
| Presenilin-1 | |
| Monoclonal | |
| 1 mg/mL | |
| Western Blot 1:100 - 1:1000, ELISA 4.5 ug/ml, Immunohistochemistry 1:10 - 1:500, Immunocytochemistry/Immunofluorescence 0.75 ug/ml, Immunoprecipitation 1:10 - 1:500, Immunohistochemistry-Paraffin 0.75 ug/ml | |
| AD3EC 3.4.23.-, Alzheimer disease 3, EC 3.4.23, FAD, presenilin 1, Protein S182, PS-1, PS1presenilin-1, PSNL1, S182 | |
| Mouse | |
| Protein G purified | |
| RUO | |
| 5663 | |
| Human, Mouse, Rat, Primate | |
| Purified |
| Western Blot, ELISA, Immunohistochemistry, Immunocytochemistry, Immunofluorescence, Immunoprecipitation, Immunohistochemistry (Paraffin) | |
| APS 11 | |
| Unconjugated | |
| P49768 | |
| PSEN1 | |
| Synthetic peptide corresponding to residues C H(21) L S N T V R S Q N D N R E(34) of human PS1. | |
| 200 μg | |
| Primary | |
| No cross-reactivity is seen with presenilin 2. | |
| Store at -20C. Avoid freeze-thaw cycles. | |
| IgG1 |
Product Content Correction
Your input is important to us. Please complete this form to provide feedback related to the content on this product.
Product Title
For Research Use Only
Spot an opportunity for improvement?Share a Content Correction