Promotional price valid on web orders only. Your contract pricing may differ. Interested in signing up for a dedicated account number?
Learn More
Learn More
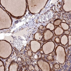
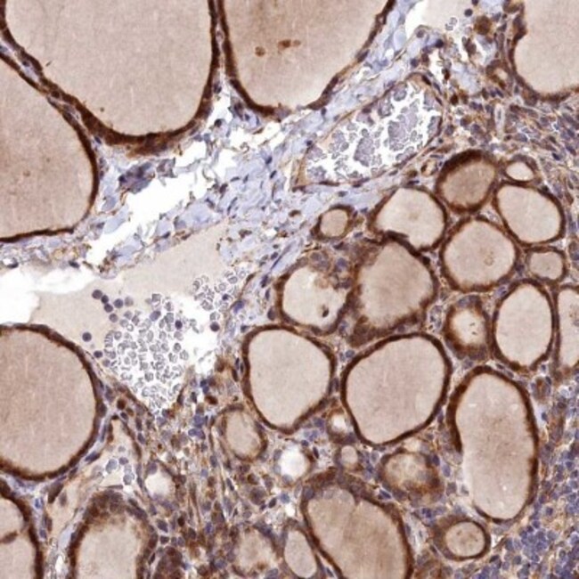
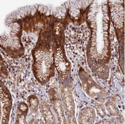
MRPS11 Antibody, Novus Biologicals™

Rabbit Polyclonal Antibody
Supplier: Novus Biologicals NBP230548
Description
MRPS11 Polyclonal specifically detects MRPS11 in Human samples. It is validated for Western Blot, Immunohistochemistry, Immunohistochemistry-Paraffin.Specifications
MRPS11 | |
Polyclonal | |
Western Blot 0.4 ug/ml, Immunohistochemistry, Immunohistochemistry-Paraffin 1:50 - 1:200 | |
P82912 | |
MRPS11 | |
This antibody was developed against a recombinant protein corresponding to amino acids: GFRNAKKGTGIAAQTAGIAAAARAKQKGVIHIRVVVKGLGPGRLSAMHGLIMGGLEVISITDNTPIPHNG | |
0.1 mL | |
Primary | |
Specificity of antibody verified on a Protein Array containing target protein plus 383 other non-specific proteins. | |
Store at 4C short term. Aliquot and store at -20C long term. Avoid freeze-thaw cycles. |
Western Blot, Immunohistochemistry, Immunohistochemistry (Paraffin) | |
Unconjugated | |
PBS (pH 7.2) and 40% Glycerol with 0.02% Sodium Azide | |
28S ribosomal protein S11, mitochondrial, Cervical cancer proto-oncogene 2 protein, FLJ22512, FLJ23406, HCC-2S11mt, mitochondrial ribosomal protein S11, MRP-S11, RPMS11 | |
Rabbit | |
Affinity Purified | |
RUO | |
64963 | |
Human | |
IgG |
Product Content Correction
Your input is important to us. Please complete this form to provide feedback related to the content on this product.
Product Title
For Research Use Only
Spot an opportunity for improvement?Share a Content Correction