Promotional price valid on web orders only. Your contract pricing may differ. Interested in signing up for a dedicated account number?
Learn More
Learn More
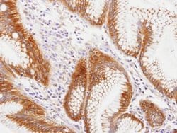
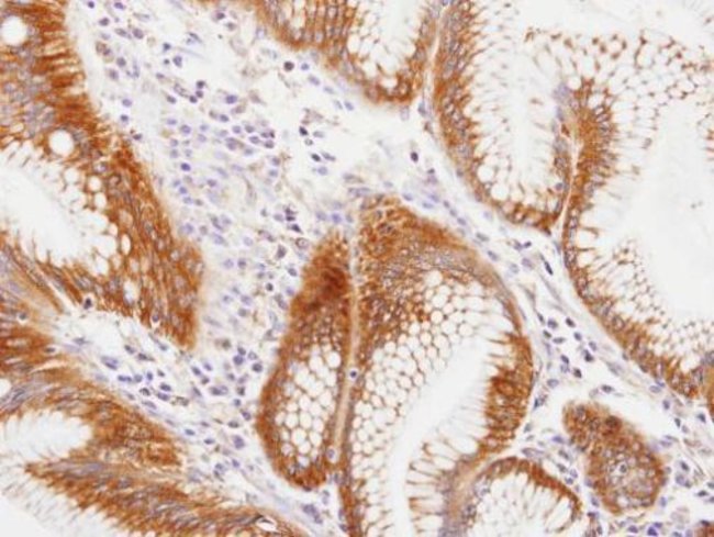
Invitrogen™ MVP Polyclonal Antibody

Rabbit Polyclonal Antibody
Supplier: Invitrogen™ PA527212
Description
Recommended positive controls: HeLa, NIH-3T3. Predicted reactivity: Mouse (91%), Rat (91%), Dog (96%), Cat (95%), Bovine (93%). Store product as a concentrated solution. Centrifuge briefly prior to opening the vial.
This gene encodes the major vault protein which is a lung resistance-related protein. Vaults are multi-subunit structures that may be involved in nucleo-cytoplasmic transport. This protein mediates drug resistance, perhaps via a transport process. It is widely distributed in normal tissues, and overexpressed in multidrug-resistant cancer cells. The protein overexpression is a potentially useful marker of clinical drug resistance. This gene produces two transcripts by using two alternative exon 2 sequences; however, the open reading frames are the same in both transcripts.
Specifications
MVP | |
Polyclonal | |
Unconjugated | |
MVP | |
2310009M24Rik; LRP; Lung resistance-related protein; major vault protein; MVP; MVP1; Testicular Secretory Protein Li 30; VAULT1; vRNP | |
Rabbit | |
Antigen affinity chromatography | |
RUO | |
78388, 9961 | |
Store at 4°C short term. For long term storage, store at -20°C, avoiding freeze/thaw cycles. | |
Liquid |
Immunohistochemistry (Paraffin), Western Blot | |
1 mg/mL | |
PBS with 20% glycerol and 0.01% thimerosal; pH 7 | |
Q14764, Q9EQK5 | |
MVP | |
Recombinant protein encompassing a sequence within the C-terminus region of human MVP/LRP. The exact sequence is proprietary. | |
100 μL | |
Primary | |
Human, Mouse | |
Antibody | |
IgG |
Safety and Handling
WARNING: Cancer - www.P65Warnings.ca.gov
Product Content Correction
Your input is important to us. Please complete this form to provide feedback related to the content on this product.
Product Title
Spot an opportunity for improvement?Share a Content Correction