Promotional price valid on web orders only. Your contract pricing may differ. Interested in signing up for a dedicated account number?
Learn More
Learn More
Human Neudesin Antibody, R&D Systems™

Mouse Monoclonal Antibody
Supplier: R&D Systems MAB6714
This item is not returnable.
View return policy
Description
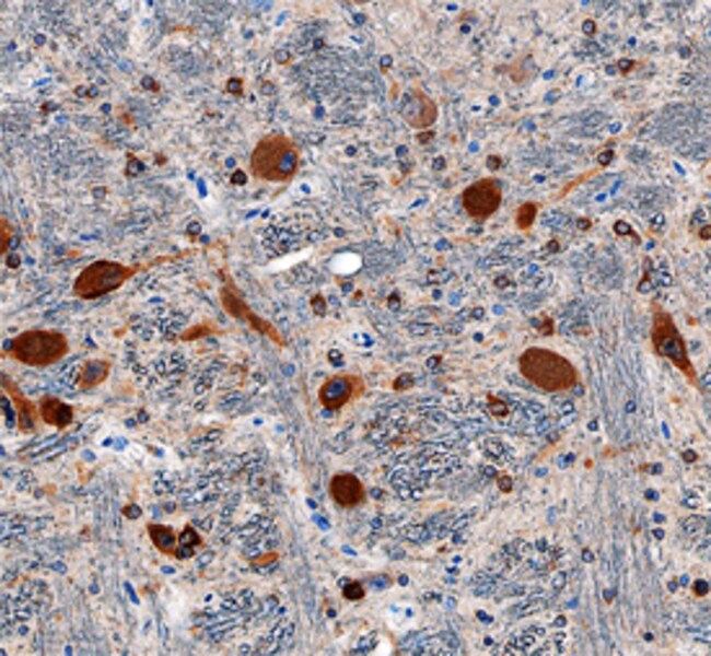
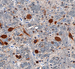
Neudesin Monoclonal specifically detects Neudesin in Human samples. It is validated for Western Blot, Immunohistochemistry.Specifications
Neudesin | |
Monoclonal | |
LYOPH | |
Western Blot 2 ug/mL, Immunohistochemistry 8-25 ug/mL | |
Q9UMX5 | |
NENF | |
Chinese hamster ovary cell line CHO-derived recombinant human Neudesin Gly32-Phe172 Accession # Q9UMX5 | |
100 μg | |
Primary | |
Detects human Neudesin in direct ELISAs. | |
Human | |
Purified |
Western Blot, Immunohistochemistry | |
737130 | |
Unconjugated | |
Lyophilized from a 0.2 μm filtered solution in PBS with Trehalose. *Small pack size (SP) is supplied as a 0.2 μm filtered solution in PBS. with No Preservative | |
Cell immortalization-related protein 2, CIR2, CIR2cell growth-inhibiting protein 47, NENF, NEUDESIN, neuron derived neurotrophic factor, Neuron-derived neurotrophic factor, SCIRP10, SCIRP10-related protein, Secreted protein of unknown function, Spinal cord injury related protein 10, SPUF, SPUF protein, SPUFneudesin | |
Mouse | |
Protein A or G purified from ascites | |
RUO | |
29937 | |
Sterile PBS to a final concentration of 0.5 mg/mL. | |
Use a manual defrost freezer and avoid repeated freeze-thaw cycles. 12 months from date of receipt, -20 to -70 degreesC as supplied. 1 month, 2 to 8 degreesC under sterile conditions after reconstitution. 6 months, -20 to -70 degreesC under sterile conditions after reconstitution. | |
IgG2b |
Product Content Correction
Your input is important to us. Please complete this form to provide feedback related to the content on this product.
Product Title
Spot an opportunity for improvement?Share a Content Correction