Promotional price valid on web orders only. Your contract pricing may differ. Interested in signing up for a dedicated account number?
Learn More
Learn More
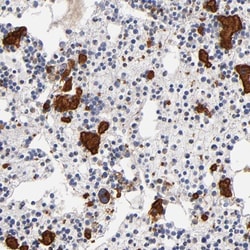
P-Selectin/CD62P Antibody, Novus Biologicals™

Rabbit Polyclonal Antibody
Supplier: Novus Biologicals NBP185745
Description
P-Selectin/CD62P Polyclonal specifically detects P-Selectin/CD62P in Human samples. It is validated for Western Blot, Immunohistochemistry, Immunohistochemistry-Paraffin.Specifications
P-Selectin/CD62P | |
Polyclonal | |
Western Blot 0.4 ug/ml, Immunohistochemistry 1:200 - 1:500, Immunohistochemistry-Paraffin 1:200 - 1:500 | |
CD62P antigen, FLJ45155, PADGEMantigen CD62), selectin P (granule membrane protein 140kDa, antigen CD62) | |
Rabbit | |
Affinity Purified | |
RUO | |
6403 | |
Human | |
IgG |
Western Blot, Immunohistochemistry, Immunohistochemistry (Paraffin) | |
Unconjugated | |
PBS (pH 7.2) and 40% Glycerol with 0.02% Sodium Azide | |
SELP | |
This antibody was developed against Recombinant Protein corresponding to amino acids:EAISCEPLESPVHGSMDCSPSLRAFQYDTNCSFRCAEGFMLRGADIVRCDNLGQWTAPAPVCQALQCQDLPVPNEARVNCSHPFGAFRYQSVCSFTCNEGLLLVGASVLQCLATGNWNSVPPECQAIPCTPLLSPQNGTMT | |
0.1 mL | |
Primary | |
Specificity of antibody verified on a Protein Array containing target protein plus 383 other non-specific proteins. | |
Store at 4C short term. Aliquot and store at -20C long term. Avoid freeze-thaw cycles. |
Product Content Correction
Your input is important to us. Please complete this form to provide feedback related to the content on this product.
Product Title
For Research Use Only
Spot an opportunity for improvement?Share a Content Correction