Promotional price valid on web orders only. Your contract pricing may differ. Interested in signing up for a dedicated account number?
Learn More
Learn More
Invitrogen™ PINK1 Polyclonal Antibody

Rabbit Polyclonal Antibody
Supplier: Invitrogen™ PA523072
Description
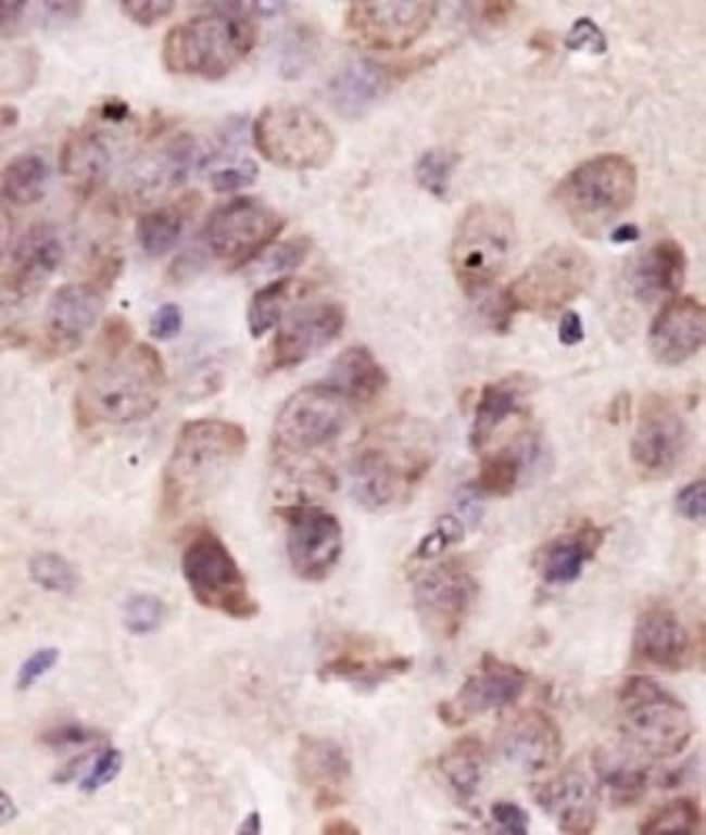
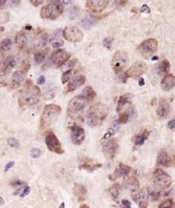
Prior to immunostaining paraffin tissues, antigen retrieval with sodium citrate buffer (pH 6.0) is recommended.
PINK1 (PTEN-induced putative kinase 1) protects from mitochondrial dysfunction in cells by conferring different autophosphorylation activity to mitochondrial genes. The kinase domain of PINK1 appears to be critical in its protective effects. Mitochondrial proteins are critical for the regulation of cellular energy and adaptation to stress. Particularly in brain cells, mitochondrial demand is extraordinarily high, in order to accommodate aerobic and anaerobic support of high energy processes. When mitochondrial structure and/or function is disrupted in the brain, neurodegenerative diseases like Parkinson's disease are triggered.
Specifications
| PINK1 | |
| Polyclonal | |
| Unconjugated | |
| PINK1 | |
| 1190006F07Rik; AU042772; AW557854; BRPK; FLJ27236; mFLJ00387; PARK6; PINK 1; Pink1; PINK-1; protein kinase BRPK; PTEN induced putative kinase 1; PTEN-induced putative kinase protein 1; Serine/threonine-protein kinase PINK1, mitochondrial | |
| Rabbit | |
| Antigen affinity chromatography | |
| RUO | |
| 298575, 65018, 68943 | |
| Store at 4°C short term. For long term storage, store at -20°C, avoiding freeze/thaw cycles. | |
| Liquid |
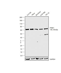
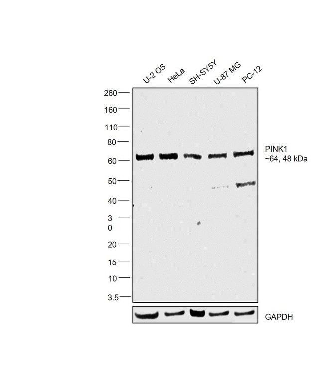
| Immunohistochemistry (Paraffin), Western Blot, Immunocytochemistry | |
| 1.0 mg/mL | |
| PBS with 0.02% sodium azide | |
| B5DFG1, Q99MQ3, Q9BXM7 | |
| PINK1 | |
| Synthetic protein made to an internal region of the human PINK1 protein (within residues 350-500). | |
| 100 μL | |
| Primary | |
| Human, Mouse, Rat | |
| Antibody | |
| IgG |
Safety and Handling
WARNING: Cancer - www.P65Warnings.ca.gov
Product Content Correction
Your input is important to us. Please complete this form to provide feedback related to the content on this product.
Product Title
Spot an opportunity for improvement?Share a Content Correction