Promotional price valid on web orders only. Your contract pricing may differ. Interested in signing up for a dedicated account number?
Learn More

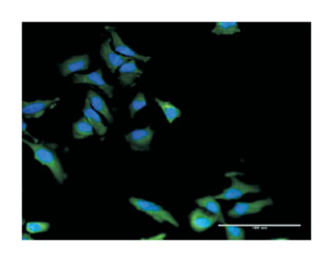
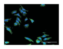
PLXNB2, Mouse, Clone: 2H3, Abnova™

Catalog No. 89002608 Shop All Abnova Corporation Products
Change view
Click to view available options
Quantity:
100 μg
1 product options available for selection
Product selection table with 1 available options. Use arrow keys to navigate and Enter or Space to select.
Catalog No. Quantity
89-002-608 100 μg
Use arrow keys to navigate between rows. Press Enter or Space to select a product option. 1 options available.
1 options
Catalog No. 89-002-608 Supplier Abnova Corporation Supplier No. H00023654M07

Mouse monoclonal antibody raised against a full-length recombinant PLXNB2.

Members of the B class of plexins, such as PLXNB2 are transmembrane receptors that participate in axon guidance and cell migration in response to semaphorins (Perrot et al. (2002) [PubMed 12183458]).[supplied by OMIM

Sequence: MHTLFLELLEQYVVAKNPKLMLRRSETVVERMLSNWMSICLYQYLKDSAGEPLYKLFKAIKHQVEKGPVDAVQKKAKYTLNDTGLLGDDVEYAPLTVSVIVQDEGVDAIPVKVLNCDTISQVKEKIIDQVYRGQPCSCWPRPDSVVLEWRPGSTAQILSDLDLTSQQEGRWKRVNTLMHYNVRDGATLILSKVGVSQQPEDSQQDLPGERHALLEEENRVWHLVRPTDEVDEGKSKRGSVKEKERTKAITEIYLTRLLSVKGTLQQFVDNFFQSVLAPGHAVPPAVKYFFDFLDEQAEKHNIQDEDTIHIWKTNSLPLRFWVNILKNPHFIFDVHVHEVVDASLSVIAQTFMDACTRTEHKLSRDSPSNKLLYAKEISTYKKMVEDYYKGIRQMVQVSDQDMNTHLAEISRAHTDSLNTLVALHQLYQYTQKYYDEIINALEEDPAAQKMQLAFRLQQIAAALENKVTDL

Specifications

Antigen PLXNB2
Applications ELISA, Immunofluorescence, Western Blot
Classification Monoclonal
Clone 2H3
Conjugate Unconjugated
Description Mouse monoclonal antibody raised against a full-length recombinant PLXNB2.
Formulation In 1X PBS, pH 7.4
Gene PLXNB2
Gene Accession No. BC004542.1
Gene Alias KIAA0315/MM1/Nbla00445/PLEXB2/dJ402G11.3
Gene Symbols PLXNB2
Host Species Mouse
Immunogen PLXNB2 (AAH04542, 1 a.a. ∼ 470 a.a) full-length recombinant protein with GST tag. MW of the GST tag alone is 26 KDa.
Quantity 100 μg
Regulatory Status RUO
Primary or Secondary Primary
Gene ID (Entrez) 23654
Target Species Human
Content And Storage Store at -20°C or lower. Aliquot to avoid repeated freezing and thawing.
Form Liquid
Isotype IgG2b κ
Show More Show Less
Product Title
Select an issue

By clicking Submit, you acknowledge that you may be contacted by Fisher Scientific in regards to the feedback you have provided in this form. We will not share your information for any other purposes. All contact information provided shall also be maintained in accordance with our Privacy Policy.