Promotional price valid on web orders only. Your contract pricing may differ. Interested in signing up for a dedicated account number?
Learn More
Learn More
Thyroid receptor-interacting protein 12 Antibody, Novus Biologicals™

Rabbit Polyclonal Antibody
Supplier: Novus Biologicals NB10097822
Description
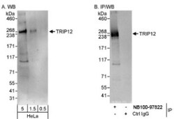
Thyroid receptor-interacting protein 12 Polyclonal specifically detects Thyroid receptor-interacting protein 12 in Human samples. It is validated for Western Blot, Immunoprecipitation.Specifications
Thyroid receptor-interacting protein 12 | |
Polyclonal | |
Unconjugated | |
TBS and 0.1% BSA with 0.09% Sodium Azide | |
EC 6.3.2.-, KIAA0045ULF, MGC138849, MGC138850, probable E3 ubiquitin-protein ligase TRIP12, thyroid hormone receptor interactor 12, thyroid receptor interacting protein 12, Thyroid receptor-interacting protein 12, TR-interacting protein 12, TRIP-12 | |
Rabbit | |
Affinity Purified | |
RUO | |
9320 | |
Human | |
IgG |
Western Blot, Immunoprecipitation | |
0.2 mg/mL | |
Western Blot 1:10000 -1:25000, Immunoprecipitation 2-10 ug/mg lysate | |
Q14669 | |
TRIP12 | |
The immunogen recognized by this antibody maps to a region between residue 75 and 125 of human thyroid hormone receptor interactor 12 using the numbering given in entry NP_004229.1 (GeneID 9320). | |
0.1 mL | |
Primary | |
Based on 100% sequence identity, this antibody is predicted to react with Panda, Orangutan, Gorilla, Chimpanzee, Crab-eating macaque, African elephant,White rhinoceros, Bactrian camel, Naked mole rat, Small-eared galago and Northern white-cheeked gibbon. | |
Store at 4C. Do not freeze. |
Product Content Correction
Your input is important to us. Please complete this form to provide feedback related to the content on this product.
Product Title
For Research Use Only
Spot an opportunity for improvement?Share a Content Correction