Promotional price valid on web orders only. Your contract pricing may differ. Interested in signing up for a dedicated account number?
Learn More
Learn More
WBP11 Antibody, Novus Biologicals™

Rabbit Polyclonal Antibody
Supplier: Novus Biologicals NBP220886
Description
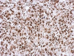
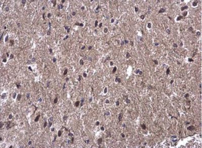
WBP11 Polyclonal specifically detects WBP11 in Human, Mouse, Rat samples. It is validated for Western Blot, Immunohistochemistry, Immunoprecipitation, Immunohistochemistry-Paraffin.Specifications
WBP11 | |
Polyclonal | |
Unconjugated | |
PBS (pH 7.0) and 20% glycerol with 0.025% Proclin 300 | |
DKFZp779M1063, Npw38-binding protein, Npw38-binding protein NpwBP, NpwBP, NPWBPsplicing factor, PQBP1 and PP1 interacting, SH3 domain-binding protein SNP70, SIPP1WW domain-binding protein 11, SNP70, Splicing factor that interacts with PQBP-1 and PP1, WBP-11, WW domain binding protein 11 | |
Rabbit | |
70 kDa | |
0.1 mL | |
Core ESC Like Genes, Stem Cell Markers | |
51729 | |
Human, Mouse, Rat | |
IgG |
Western Blot, Immunohistochemistry, Immunoprecipitation, Immunohistochemistry (Paraffin) | |
1mg/mL | |
Western Blot 1:1000-1:10000, Immunohistochemistry 1:100-1:1000, Immunoprecipitation 1:100-1:500, Immunohistochemistry-Paraffin 1:100-1:1000 | |
Q9Y2W2 | |
WBP11 | |
Recombinant protein encompassing a sequence within the center region of human WBP11. The exact sequence is proprietary. | |
Affinity Purified | |
RUO | |
Primary | |
Human, Mouse. Species reactivity based on sequence identity: Rhesus Monkey (100%). | |
Aliquot and store at -20C or -80C. Avoid freeze-thaw cycles. |
Product Content Correction
Your input is important to us. Please complete this form to provide feedback related to the content on this product.
Product Title
For Research Use Only
Spot an opportunity for improvement?Share a Content Correction