Promotional price valid on web orders only. Your contract pricing may differ. Interested in signing up for a dedicated account number?
Learn More
Learn More
ANXA2R Rabbit anti-Human, Polyclonal, Proteintech

Rabbit Polyclonal Antibody
Supplier: Proteintech Group Inc 238381AP150UL

Description
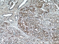
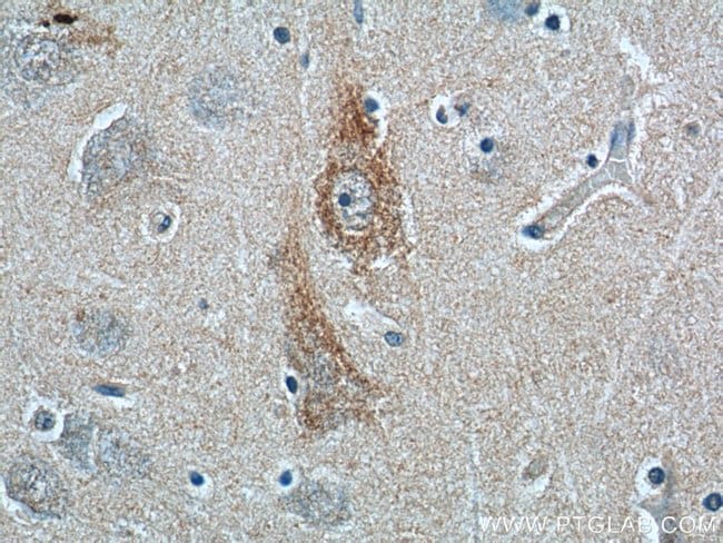
C5orf39 may act as a receptor for annexin II on marrow stromal cells to induce osteoclast formation.Specifications
ANXA2R | |
Polyclonal | |
Unconjugated | |
ANXA2R | |
Annexin 2 receptor, Annexin II receptor, AX2R, AXIIR, C5orf39 | |
Rabbit | |
Antigen Affinity Chromatography | |
RUO | |
389289 | |
-20°C | |
Liquid |
Immunohistochemistry (Paraffin) | |
0.29 mg/mL | |
PBS with 50% glycerol and 0.02% sodium azide; pH 7.3 | |
Q3ZCQ2 | |
ANXA2R | |
ANXA2R Fusion Protein Ag20807 | |
150 μL | |
Primary | |
Human | |
Antibody | |
IgG |
Product Content Correction
The Fisher Scientific Encompass Program offers items which are not part of our distribution portfolio. These products typically do not have pictures or detailed descriptions. However, we are committed to improving your shopping experience. Please use the form below to provide feedback related to the content on this product.
Product Title
Spot an opportunity for improvement?Share a Content Correction