Promotional price valid on web orders only. Your contract pricing may differ. Interested in signing up for a dedicated account number?
Learn More
Learn More
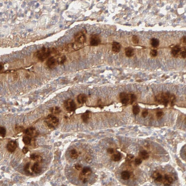
Invitrogen™ AP1G2 Polyclonal Antibody

Rabbit Polyclonal Antibody
Supplier: Invitrogen™ PA552050
Description
Immunogen sequence: PLVERDGPQA DEEAKESKEA AQLSEAAPVP TEPQASQLLD LLDLLDGASG DVQHPPHLDP SPGGALVHLL DLPCVPPPPA PIPDLKVFER EGVQLNLSFI RPPENPALLL ITITATNFSE GDV Highest antigen sequence identity to the following orthologs: Mouse - 62%, Rat - 65%.

Specifications
AP1G2 | |
Polyclonal | |
Unconjugated | |
AP1G2 | |
adaptor protein complex AP-1, gamma 2 subunit; adaptor related protein complex 1 gamma 2 subunit; adaptor-related protein complex 1 gamma 2 subunit; adaptor-related protein complex 1, gamma 2 subunit; Adtg2; AP-1 complex subunit gamma-like 2; AP1G2; clathrin-associated/assembly/adaptor protein, large, gamma-2; G2AD; Gamma2-adaptin; LOC100362547 | |
Rabbit | |
Antigen affinity chromatography | |
RUO | |
8906 | |
Store at 4°C short term. For long term storage, store at -20°C, avoiding freeze/thaw cycles. | |
Liquid |
Immunohistochemistry (Paraffin), Western Blot | |
0.2 mg/mL | |
PBS with 40% glycerol and 0.02% sodium azide; pH 7.2 | |
O75843 | |
AP1G2 | |
Recombinant protein corresponding to Human AP1G2. Recombinant protein control fragment (Product #RP-89024). | |
100 μL | |
Primary | |
Human | |
Antibody | |
IgG |
Safety and Handling
WARNING: Cancer - www.P65Warnings.ca.gov
Product Content Correction
Your input is important to us. Please complete this form to provide feedback related to the content on this product.
Product Title
Spot an opportunity for improvement?Share a Content Correction