Promotional price valid on web orders only. Your contract pricing may differ. Interested in signing up for a dedicated account number?
Learn More
Learn More
Invitrogen™ AP2M1 Polyclonal Antibody

Chicken Polyclonal Antibody
Supplier: Invitrogen™ PA520745
Description
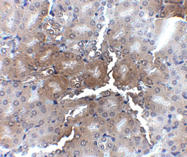
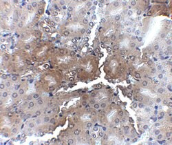
A suggested positive control is human kidney tissue lysate. PA5-20745 can be used with blocking peptide PEP-0859.
The heterotetrameric coat assembly protein complex, also known as the adaptor-related protein complex 2 (AP-2), belongs to the adaptor complexes medium subunits family. The mu 1 subunit of the AP-2 complex (AP2M1) is required for the activity of a vacuolar ATPase, which is responsible for proton pumping occurring in the acidification of endosomes and lysosomes. AP2M1 has also been shown to associate with the HIV-1 protein Nef, suggesting that Nef may use AP-2 complex to enhance the rate of endocytosis of both CD4 and class I MHC. AP2M1 may also play an important role in regulating the intracellular trafficking and function of cytotoxic T-lymphocyte associated (CTLA)-4 protein. At least two isoforms of AP2M1 are known to exist.
Specifications
AP2M1 | |
Polyclonal | |
Unconjugated | |
AP2M1 | |
adapter-related protein complex 2 mu subunit; adapter-related protein complex 2 subunit mu; adaptin-mu2; Adaptor protein complex AP-2 subunit mu; adaptor related protein complex 2 mu 1 subunit; adaptor related protein complex 2 subunit mu 1; adaptor related protein complex 2, mu 1 subunit; adaptor-related protein complex 2 subunit mu; adaptor-related protein complex 2, mu 1 subunit; AP-2 complex subunit mu; AP-2 mu 2 chain; AP-2 mu chain; Ap2m1; AP50; Clapm1; clathrin adaptor complex AP2, mu subunit; Clathrin assembly protein complex 2 medium chain; clathrin assembly protein complex 2 mu medium chain; clathrin coat adaptor protein AP50; Clathrin coat assembly protein AP50; Clathrin coat-associated protein AP50; clathrin-associated/assembly/adaptor protein, medium 1; coat assembly protein complex 50 kD; HA2 50 kDA subunit; KIAA0109; mu2; Mu2-adaptin; Plasma membrane adaptor AP-2 50 kDa protein; plasma membrane adaptor AP-2 50kDA protein; QtsA-16673; unnamed protein product | |
Chicken | |
Antigen Affinity Chromatography | |
RUO | |
116563, 1173, 11773 | |
Maintain refrigerated at 2-8°C for up to 3 months. For long term storage store at -20°C | |
Liquid |
Immunohistochemistry, Western Blot, Immunocytochemistry | |
1 mg/mL | |
PBS with 0.02% sodium azide | |
P84091, P84092, Q96CW1 | |
AP2M1 | |
A 16 amino acid peptide near the carboxy terminus of human AP2M1. | |
100 μg | |
Primary | |
Human, Mouse, Rat | |
Antibody | |
IgY |
Safety and Handling
WARNING: Cancer - www.P65Warnings.ca.gov
Product Content Correction
Your input is important to us. Please complete this form to provide feedback related to the content on this product.
Product Title
Spot an opportunity for improvement?Share a Content Correction