Promotional price valid on web orders only. Your contract pricing may differ. Interested in signing up for a dedicated account number?
Learn More
Learn More
Invitrogen™ AP3S1 Polyclonal Antibody

Rabbit Polyclonal Antibody
Supplier: Invitrogen™ PA521161
Description
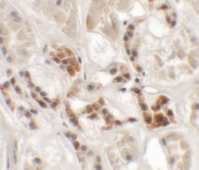
A suggested positive control is mouse kidney tissue lysate. PA5-21161 can be used with blocking peptide PEP-1275.
Part of the AP-3 complex, an adapter-related complex which is not clathrin-associated. The complex is associated with the Golgi region as well as more peripheral structures. It facilitates the budding of vesicles from the Golgi membrane and may be directly involved in trafficking to lysosomes.
Specifications
AP3S1 | |
Polyclonal | |
Unconjugated | |
AP3S1 | |
adapter-related protein complex 3 subunit sigma-1; adaptor related protein complex 3 sigma 1 subunit; adaptor related protein complex 3, sigma 1 subunit; adaptor-related protein complex 3 subunit sigma-1; adaptor-related protein complex 3, sigma 1 subunit; AP-3 complex subunit sigma-1; AP-3 complex subunit sigma-3A; AP3S1; CLAPS3; clathrin adaptor complex AP3, sigma-3A subunit; clathrin-associated/assembly/adapter protein, small 3; Clathrin-associated/assembly/adaptor protein, small 3; clathrin-associated/assembly/adaptor protein, small 3 (22kD); Sigma3A; Sigma-3A-adaptin; Sigma3A-adaptin; Sigma-adaptin 3a | |
Rabbit | |
Antigen Affinity Chromatography | |
RUO | |
1176, 11777, 302290 | |
Maintain refrigerated at 2°C to 8°C for up to 3 months. For long term storage store at -20°C | |
Liquid |
Immunohistochemistry, Western Blot | |
1 mg/mL | |
PBS with 0.02% sodium azide | |
Q92572, Q9DCR2 | |
AP3S1 | |
A 19 amino acid peptide near the center of human AP3S1. | |
100 μg | |
Primary | |
Human, Mouse, Rat | |
Antibody | |
IgG |
Product Content Correction
Your input is important to us. Please complete this form to provide feedback related to the content on this product.
Product Title
Spot an opportunity for improvement?Share a Content Correction