Promotional price valid on web orders only. Your contract pricing may differ. Interested in signing up for a dedicated account number?
Learn More
Learn More
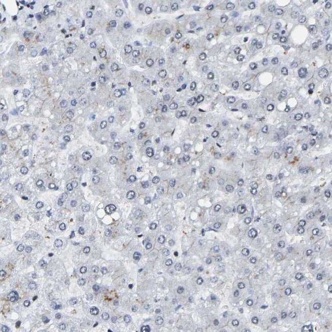
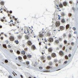
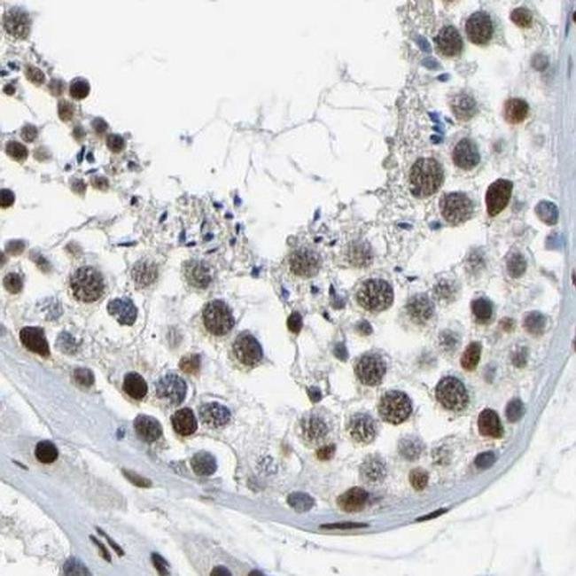
Invitrogen™ FOXK1 Polyclonal Antibody

Rabbit Polyclonal Antibody
Supplier: Invitrogen™ PA553699
Description
Immunogen sequence: PHDPEFGSKL ASVPEYRYSQ SAPGSPVSAQ PVIMAVPPRP SSLVAKPVAY MPASIVTSQQ PAGHAIHVVQ QAPTVTMVRV VTTSANSANG YILTSQGAAG GSHDAAGAAV LDLGSEARGL EEKPTIAFAT IPAAGGVIQT VA Highest antigen sequence identity to the following orthologs: Mouse - 91%, Rat - 90%.
Transcriptional regulator involved in different processes such as glucose metabolism, aerobic glycolysis, muscle cell differentiation and autophagy. Recognizes and binds the forkhead DNA sequence motif (5'-GTAAACA-3') and can both act as a transcription activator or repressor, depending on the context (PubMed:17670796). Together with FOXK2, acts as a key regulator of metabolic reprogramming towards aerobic glycolysis, a process in which glucose is converted to lactate in the presence of oxygen. Acts by promoting expression of enzymes for glycolysis (such as hexokinase-2 (HK2), phosphofructokinase, pyruvate kinase (PKLR) and lactate dehydrogenase), while suppressing further oxidation of pyruvate in the mitochondria by up-regulating pyruvate dehydrogenase kinases PDK1 and PDK4. Probably plays a role in gluconeogenesis during overnight fasting, when lactate from white adipose tissue and muscle is the main substrate. Involved in mTORC1-mediated metabolic reprogramming: in response to mTORC1 signaling, translocates into the nucleus and regulates the expression of genes associated with glycolysis and downstream anabolic pathways, such as HIF1A, thereby regulating glucose metabolism. Together with FOXK2, acts as a negative regulator of autophagy in skeletal muscle: in response to starvation, enters the nucleus, binds the promoters of autophagy genes and represses their expression, preventing proteolysis of skeletal muscle proteins. Acts as a transcriptional regulator of the myogenic progenitor cell population in skeletal muscle. Binds to the upstream enhancer region (CCAC box) of myoglobin (MB) gene, regulating the myogenic progenitor cell population. Promotes muscle progenitor cell proliferation by repressing the transcriptional activity of FOXO4, thereby inhibiting myogenic differentiation. Involved in remodeling processes of adult muscles that occur in response to physiological stimuli. Required to correct temporal orchestration of molecular and cellular events necessary for muscle repair. Represses myogenic differentiation by inhibiting MEFC activity. Positively regulates Wnt/beta-catenin signaling by translocating DVL into the nucleus (PubMed:25805136). Reduces virus replication, probably by binding the interferon stimulated response element (ISRE) to promote antiviral gene expression (PubMed:25852164). [UniProt].
Specifications
FOXK1 | |
Polyclonal | |
Unconjugated | |
FOXK1 | |
A630048H08Rik; AI463295; ENSMUSG00000075577; FHX; Fork head; forkhead box K1; forkhead box protein K1; FOXK1; FOXK1L; Gm10868; Mnf; myocyte nuclear factor; RGD1309643; wu:fi75f05; zgc:66237 | |
Rabbit | |
Antigen affinity chromatography | |
RUO | |
221937 | |
Store at 4°C short term. For long term storage, store at -20°C, avoiding freeze/thaw cycles. | |
Liquid |
Immunohistochemistry (Paraffin), Immunocytochemistry | |
0.5 mg/mL | |
PBS with 40% glycerol and 0.02% sodium azide; pH 7.2 | |
P85037 | |
FOXK1 | |
Recombinant protein corresponding to Human AP5Z1. Recombinant protein control fragment (Product #RP-91322). | |
100 μL | |
Primary | |
Human | |
Antibody | |
IgG |
Product Content Correction
Your input is important to us. Please complete this form to provide feedback related to the content on this product.
Product Title
Spot an opportunity for improvement?Share a Content Correction