Promotional price valid on web orders only. Your contract pricing may differ. Interested in signing up for a dedicated account number?
Learn More
Learn More
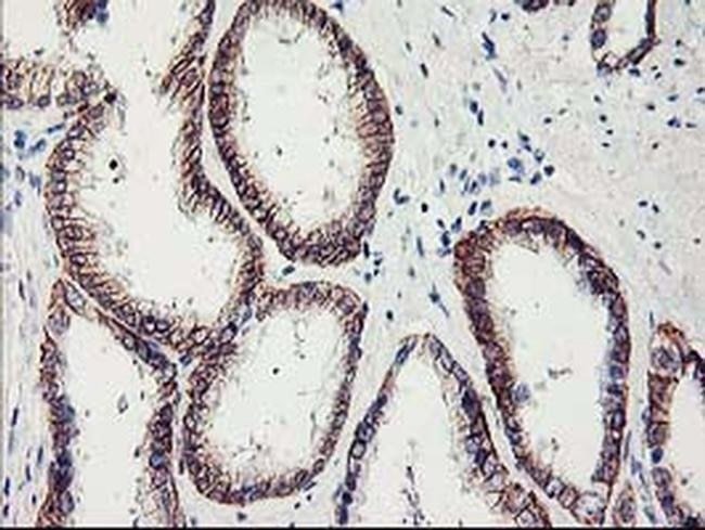
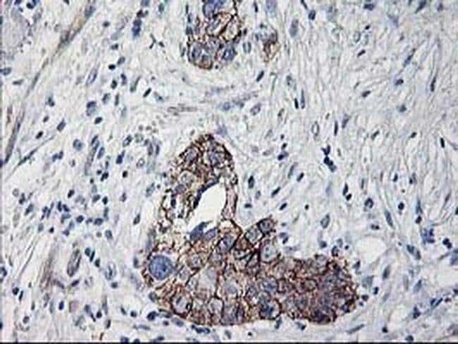
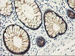
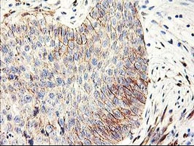
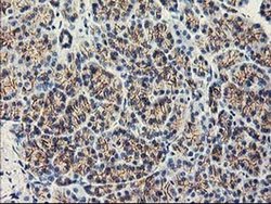
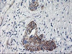
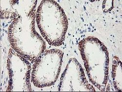
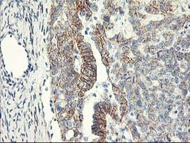
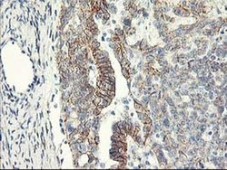
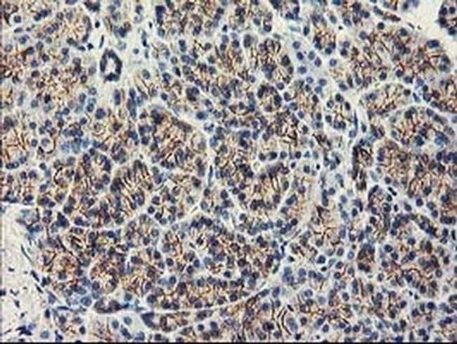
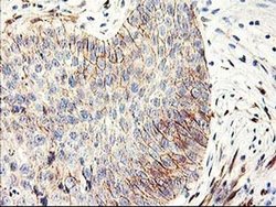
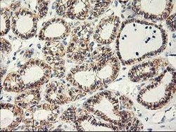
Invitrogen™ APBB3 Monoclonal Antibody (OTI5G3)

Mouse Monoclonal Antibody
Supplier: Invitrogen™ MA525736
Description
APBB3 Monoclonal Antibody for Western Blot, IHC (P), Flow
The protein encoded by this gene is a member of the APBB protein family. It is found in the cytoplasm and binds to the intracellular domain of the Alzheimer's disease beta-amyloid precursor protein (APP) as well as to other APP-like proteins. It is thought that the protein encoded by this gene may modulate the internalization of APP. Multiple transcript variants encoding several different isoforms have been found for this gene.
Specifications
| APBB3 | |
| Monoclonal | |
| 0.39 mg/mL | |
| PBS with 1% BSA, 50% glycerol and 0.02% sodium azide; pH 7.3 | |
| O95704 | |
| APBB3 | |
| Full length human recombinan protein of APBB3 produced in HEK293T cell. | |
| 100 μL | |
| Primary | |
| Human | |
| Antibody | |
| IgG1 |
| Flow Cytometry, Immunohistochemistry (Paraffin), Western Blot | |
| OTI5G3 | |
| Unconjugated | |
| APBB3 | |
| amyloid beta (A4) precursor protein-binding, family B, member 3; amyloid beta A4 precursor protein-binding family B member 3; amyloid beta precursor protein binding family B member 3; amyloid precursor interacting protein; Amyloid-beta A4 precursor protein-binding family B member 3; APBB3; Fe65L2; fe65-like protein 2; Protein Fe65-like 2; Rirl2; SRA; TR2S | |
| Mouse | |
| Affinity Chromatography | |
| RUO | |
| 10307 | |
| -20°C, Avoid Freeze/Thaw Cycles | |
| Liquid |
Product Content Correction
Your input is important to us. Please complete this form to provide feedback related to the content on this product.
Product Title
Spot an opportunity for improvement?Share a Content Correction