Promotional price valid on web orders only. Your contract pricing may differ. Interested in signing up for a dedicated account number?
Learn More
Learn More
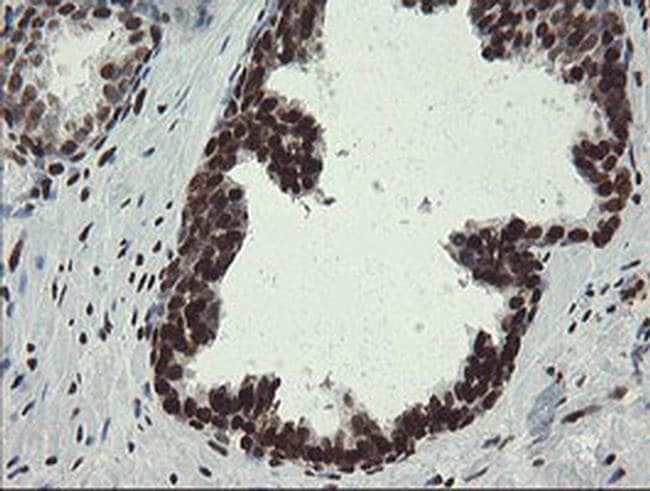
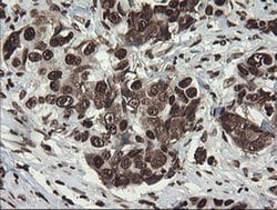
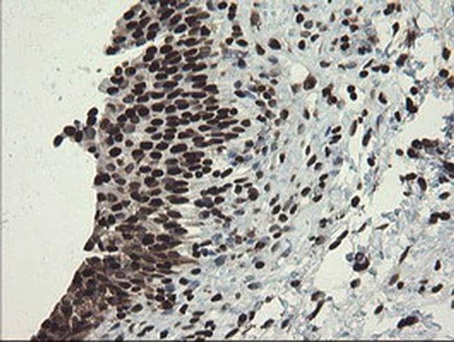
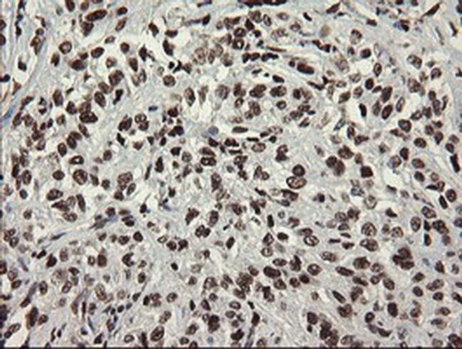
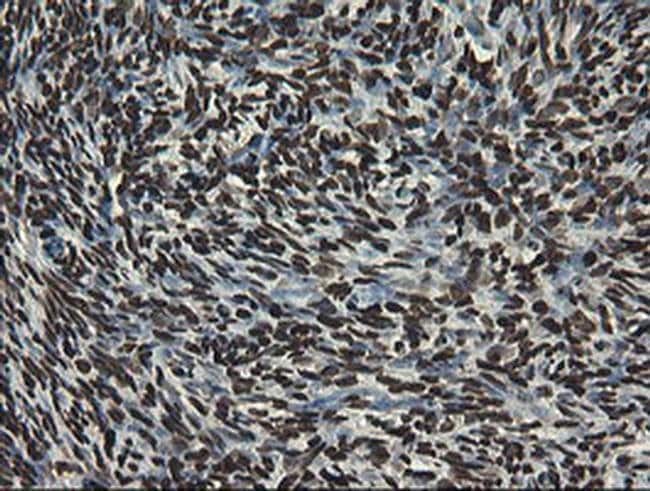
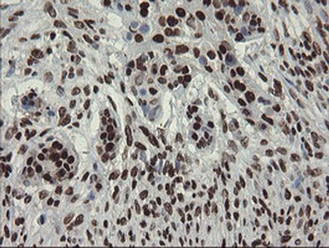
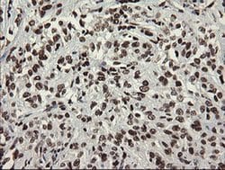
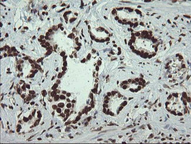
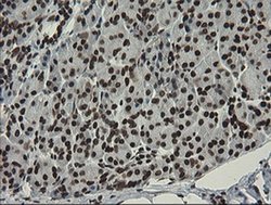
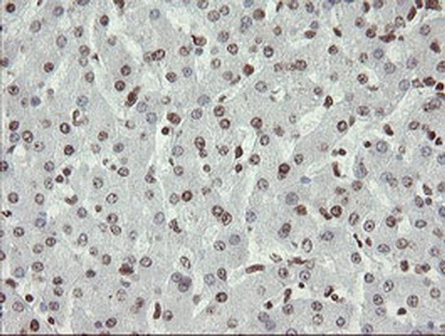
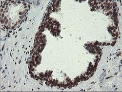
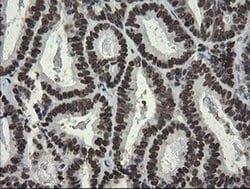
APEX1 Monoclonal Antibody (OTI6E10), TrueMAB™, OriGene

Mouse Monoclonal Antibody
Supplier: OriGene TA800334

Description
Apurinic/apyrimidinic (AP) sites occur frequently in DNA molecules by spontaneous hydrolysis, by DNA damaging agents or by DNA glycosylases that remove specific abnormal bases. AP sites are pre-mutagenic lesions that can prevent normal DNA replication so the cell contains systems to identify and repair such sites. Class II AP endonucleases cleave the phosphodiester backbone 5′ to the AP site. This gene encodes the major AP endonuclease in human cells. Splice variants have been found for this gene; all encode the same protein.Specifications
APEX1 | |
Monoclonal | |
1 mg/mL | |
PBS with 1% BSA, 50% glycerol and 0.02% sodium azide | |
P27695 | |
APEX1 | |
Human recombit protein fragment corresponding to amino acids 1-242 of human APEX1 produced in E.coli. | |
100 μL | |
Primary | |
Human | |
Antibody | |
IgG2a |
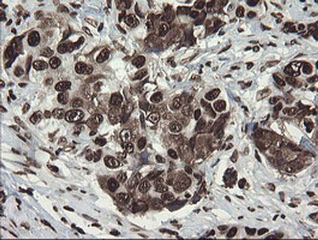
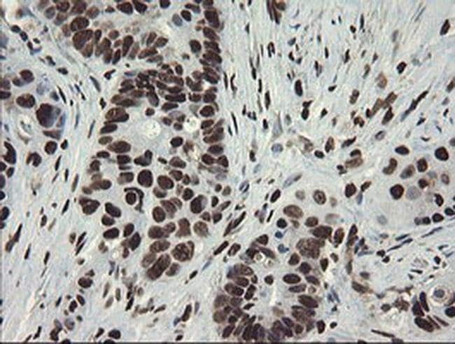
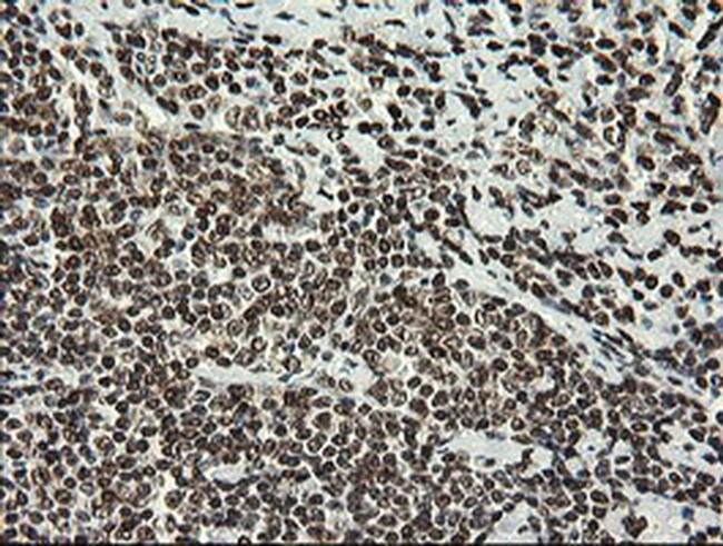
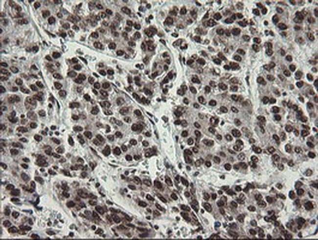
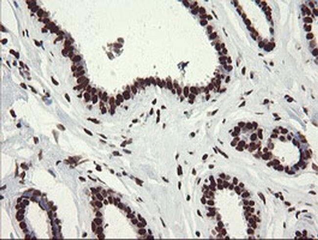
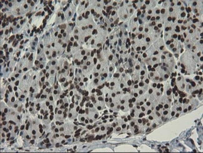
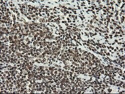
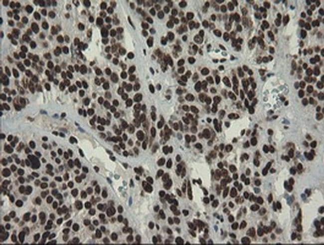
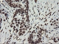
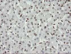
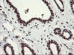
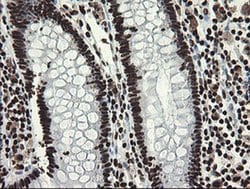
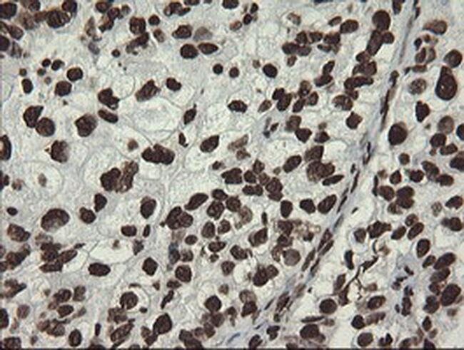
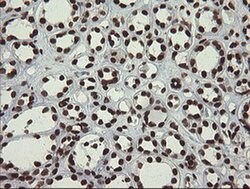
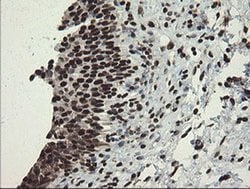
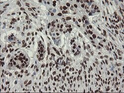
Flow Cytometry, Immunocytochemistry, Immunofluorescence, Immunohistochemistry (Paraffin), Western Blot | |
OTI6E10 | |
Unconjugated | |
APEX1 | |
APE, APE1, APEN, APEX, APX, HAP1, REF1 | |
Mouse | |
Affinity Chromatography | |
RUO | |
328 | |
-20° C, Avoid Freeze/Thaw Cycles | |
Liquid |
Product Content Correction
The Fisher Scientific Encompass Program offers items which are not part of our distribution portfolio. These products typically do not have pictures or detailed descriptions. However, we are committed to improving your shopping experience. Please use the form below to provide feedback related to the content on this product.
Product Title
Spot an opportunity for improvement?Share a Content Correction