Promotional price valid on web orders only. Your contract pricing may differ. Interested in signing up for a dedicated account number?
                
Learn More
Learn More
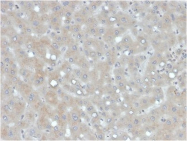
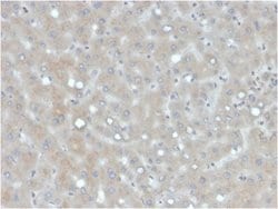
                                    Apolipoprotein B/ApoB Antibody (APOB/4333) - Azide and BSA Free, Novus Biologicals™
 
                                    
                                    
                                    
                                    
                                
                            
                            
                            
                            
Mouse Monoclonal Antibody
Supplier: Novus Biologicals NBP308230
Description
Apolipoprotein B/ApoB Monoclonal specifically detects Apolipoprotein B/ApoB in Human samples. It is validated for Immunohistochemistry-Paraffin, Protein Array.Specifications
| Apolipoprotein B/ApoB | |
| Monoclonal | |
| 1 mg/mL | |
| Immunohistochemistry-Paraffin : 1-2 ug/mL, Protein Array | |
| Apo B-100, apoB-100, apoB-48, apolipoprotein B (including Ag(x) antigen), apolipoprotein B-100, apolipoprotein B48, FLDB, LDLCQ4, mutant Apo B 100 | |
| Human recombinant Apolipoprotein B/ApoB protein fragment (around aa592-689) (exact sequence is proprietary) | |
| 100 μg | |
| Cancer, Cholesterol Metabolism, Lipid and Metabolism, Signal Transduction | |
| 338 | |
| Store at -20 to -80C. Avoid freeze-thaw cycles. | |
| IgG1 κ | 
| Immunohistochemistry (Paraffin), Peptide Array | |
| APOB/4333 | |
| Unconjugated | |
| 10mM PBS | |
| Mouse | |
| Protein A or G purified | |
| RUO | |
| Primary | |
| Human | |
| Purified | 
                    Product Content Correction
                
                Your input is important to us. Please complete this form to provide feedback related to the content on this product.
Product Title
			
            Spot an opportunity for improvement?Share a Content Correction
            -Immunohistochemistry-Paraffin-NBP3-08230-img0001.jpg-250.jpg) 
                            -Protein Array-NBP3-08230-img0002.jpg-250.jpg)