Promotional price valid on web orders only. Your contract pricing may differ. Interested in signing up for a dedicated account number?
Learn More
Learn More
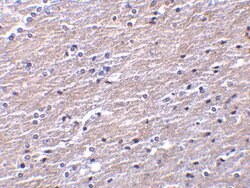
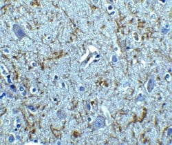
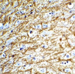
Invitrogen™ Apolipoprotein J Polyclonal Antibody

Rabbit Polyclonal Antibody
Supplier: Invitrogen™ PA520212
Description
This antibody reacts with Clusterin isoform 1. A suggested positive control is human brain tissue lysate.
Isoform 1 functions as extracellular chaperone that prevents aggregation of nonnative proteins. Prevents stress-induced aggregation of blood plasma proteins. Inhibits formation of amyloid fibrils by APP, APOC2, B2M, CALCA, CSN3, SNCA and aggregation-prone LYZ variants (in vitro). Does not require ATP. Maintains partially unfolded proteins in a state appropriate for subsequent refolding by other chaperones, such as HSPA8/HSC70. Does not refold proteins by itself. Binding to cell surface receptors triggers internalization of the chaperone-client complex and subsequent lysosomal or proteasomal degradation. Secreted isoform 1 protects cells against apoptosis and against cytolysis by complement. Intracellular isoforms interact with ubiquitin and SCF (SKP1-CUL1-F-box protein) E3 ubiquitin-protein ligase complexes and promote the ubiquitination and subsequent proteasomal degradation of target proteins. Promotes proteasomal degradation of COMMD1 and IKBKB. Modulates NF-kappa-B transcriptional activity. Nuclear isoforms promote apoptosis. Mitochondrial isoforms suppress BAX-dependent release of cytochrome c into the cytoplasm and inhibit apoptosis. Plays a role in the regulation of cell proliferation.
Specifications
| Apolipoprotein J | |
| Polyclonal | |
| Unconjugated | |
| Clu | |
| AAG4; Aging associated protein 4; Aging-associated gene 4 protein; aging-associated protein 4; AI893575; apo j; Apo J a; Apo J alpha; Apo J b; Apo J beta; Apo J a; Apo J ß; Apo Ja; Apo Jb; ApoJ; Apo-J; ApoJ a; ApoJ alpha; ApoJ b; ApoJ beta; ApoJ a; ApoJ ß; ApoJa; ApoJalpha; ApoJb; ApoJbeta; Apolipoprotein J; CLI; Clu; CLU1; CLU2; clusterin; Clusterin alpha / beta chain; Clusterin alpha chain; Clusterin beta chain; Clustrin; Complement associated protein SP40; complement cytolysis inhibitor; Complement cytolysis inhibitor a chain; Complement cytolysis inhibitor b chain; complement lysis inhibitor; complement-associated protein SP-40,40; D14Ucla3; DAG; Dimeric acid glycoprotein; GP80; HGNC:2095; ku70-binding protein 1; Ku70-binding protein 1 (KUB1); KUB1; MGC24903; Msgp-2; NA1/NA2; RATTRPM2B; SGP2; Sgp-2; SP40; SP-40; Sugp-2; sulfated glycoprotein 2; Sulfated glycoprotein 2 (SGP2); testosterone repressed prostate message; testosterone repressed prostate message 2; Testosterone repressed prostate message 2 (TPRM2B); testosterone repressed prostate message-2; testosterone-repressed prostate message; testosterone-repressed prostate message 2; testostrone-repressed prostate message 2; Trpm2; TRPM-2; TRPM2B; Trpmb | |
| Rabbit | |
| Antigen Affinity Chromatography | |
| RUO | |
| 1191 | |
| Maintain refrigerated at 2°C to 8°C for up to 3 months. For long term storage store at -20°C | |
| Liquid |
| Immunohistochemistry, Western Blot, Immunocytochemistry | |
| 1 mg/mL | |
| PBS with 0.02% sodium azide | |
| P10909 | |
| Clu | |
| Recombinant human Clusterin isoform 1. | |
| 100 μg | |
| Primary | |
| Human | |
| Antibody | |
| IgG |
Product Content Correction
Your input is important to us. Please complete this form to provide feedback related to the content on this product.
Product Title
Spot an opportunity for improvement?Share a Content Correction