Learn More
Invitrogen™ AQP12B Polyclonal Antibody

Description
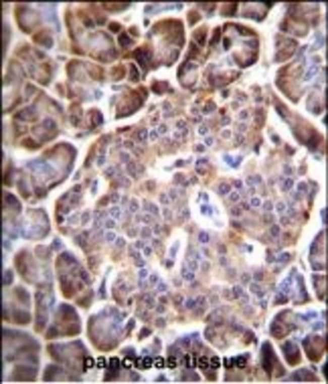
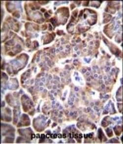
AQP12B Polyclonal Antibody for Western Blot, IHC (P), Flow
Specifications
Specifications
| Antigen | AQP12B |
| Applications | Flow Cytometry, Immunohistochemistry (Paraffin), Western Blot |
| Classification | Polyclonal |
| Concentration | 0.4 mg/mL |
| Conjugate | Unconjugated |
| Formulation | PBS with 0.09% sodium azide; pH 7.4 |
| Gene | AQP12B |
| Gene Accession No. | A6NM10 |
| Gene Alias | AQP12B; AQP-12B; aquaporin 12B; aquaporin-12B; INSSA3; insulin synthesis associated 3 |
| Gene Symbols | AQP12B |
| Show More |
By clicking Submit, you acknowledge that you may be contacted by Fisher Scientific in regards to the feedback you have provided in this form. We will not share your information for any other purposes. All contact information provided shall also be maintained in accordance with our Privacy Policy.