Promotional price valid on web orders only. Your contract pricing may differ. Interested in signing up for a dedicated account number?
Learn More
Learn More
Invitrogen™ ARD1A Polyclonal Antibody

Rabbit Polyclonal Antibody
Supplier: Invitrogen™ PA556546
Description
Immunogen sequence: AIENKVESKG NSPPSSGEAC REEKGLAAED SGGDSKDLSE VSETTESTDV KDSSEASDSA S Highest antigen sequence identity to the following orthologs: Mouse - 90%, Rat - 89%.
N-alpha-acetylation is one of the most common protein modifications that occurs during protein synthesis and involves the transfer of an acetyl group from acetyl-coenzyme A to the protein alpha-amino group. ARD1A, together with NATH.
Specifications
ARD1A | |
Polyclonal | |
Unconjugated | |
NAA10 | |
2310039H09Rik; alpha-N-acetyltransferase 1A; ARD1; ARD1 homolog A, N-acetyltransferase; Ard1a; ARD1P; DXS707; hARD1; MCOPS1; N(alpha)-acetyltransferase 10, NatA catalytic subunit; N(alpha)-acetyltransferase 10, NatA catalytic subunitNalpha acetyltransferase 10; Naa10; N-acetyltransferase ARD1 homolog; N-acetyltransferase ARD1, human homolog of; Nalpha acetyltransferase 10; N-alpha-acetyltransferase 10; N-alpha-acetyltransferase 10, NatA catalytic subunit; natA catalytic subunit Naa10; NATD; N-terminal acetyltransferase complex ARD1 subunit homolog A; OGDNS; RGD1565315; Te2 | |
Rabbit | |
Antigen affinity chromatography | |
RUO | |
8260 | |
Store at 4°C short term. For long term storage, store at -20°C, avoiding freeze/thaw cycles. | |
Liquid |
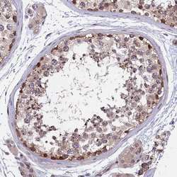
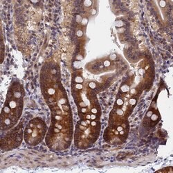
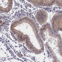
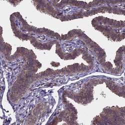
Immunohistochemistry (Paraffin), Western Blot, Immunocytochemistry | |
0.1 mg/mL | |
PBS with 40% glycerol and 0.02% sodium azide; pH 7.2 | |
P41227 | |
NAA10 | |
Recombinant protein corresponding to Human ARD1A. Recombinant protein control fragment (Product #RP-95182). | |
100 μL | |
Primary | |
Human | |
Antibody | |
IgG |
Product Content Correction
Your input is important to us. Please complete this form to provide feedback related to the content on this product.
Product Title
Spot an opportunity for improvement?Share a Content Correction