Learn More
Invitrogen™ ARF4 Polyclonal Antibody

Description
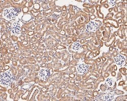
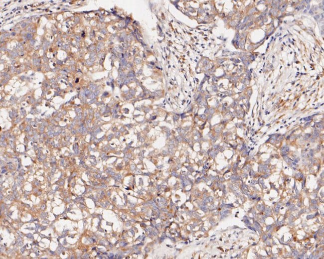
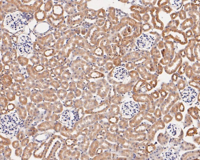
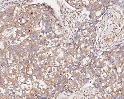
Positive Control: HepG2 cell lysate, Hela cell lysate, mouse kidney tissue lysate, MCF-7 cell lysate, mouse cerebellum tissue lysate, rat testis tissue lysate, F9, human breast carcinoma tissue, mouse kidney tissue. Subcellular Location: Golgi apparatus. Membrane.
Specifications
Specifications
| Antigen | ARF4 |
| Applications | Immunohistochemistry (Paraffin), Western Blot, Immunocytochemistry |
| Classification | Polyclonal |
| Concentration | 1 mg/mL |
| Conjugate | Unconjugated |
| Formulation | TBS with 0.2% BSA, 50% glycerol and 0.05% sodium azide; pH 7.4 |
| Gene | ARF4 |
| Gene Accession No. | P18085, P61750, P61751 |
| Gene Alias | AA407803; ADP ribosylation factor 4; ADP-ribosylation factor 2; ADP-ribosylation factor 4; ARF2; Arf4 |
| Gene Symbols | ARF4 |
| Show More |
Safety and Handling
By clicking Submit, you acknowledge that you may be contacted by Fisher Scientific in regards to the feedback you have provided in this form. We will not share your information for any other purposes. All contact information provided shall also be maintained in accordance with our Privacy Policy.