Learn More
Invitrogen™ Arginase 1 Polyclonal Antibody

Rabbit Polyclonal Antibody
Supplier: Invitrogen™ PA532267
Description
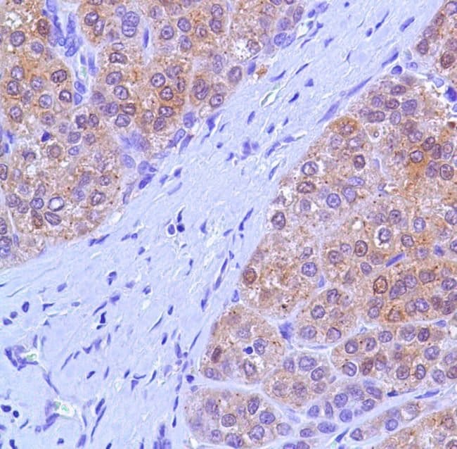
Heat-mediated antigen retrieval is recommended prior to staining, using a 10mM citrate buffer, pH 6.0, for 10 minutes followed by cooling at room temperature for 20 min. Following antigen retrieval, incubate samples with primary antibody for 10 min at room temperature. A suggested positive control is hepatocellular carcinoma.
Arginase-1 (Arg1) is a 35 kDa enzyme converting L-arginine to urea and L-ornithine, which is the final step in the urea cycle. The resulting polyamines are important for cell proliferation and removal of toxins that arise from protein degradation. By degrading arginine, Arginase 1 deprives NO synthase of its substrate and down-regulates nitric oxide production. In both human and mouse, Arginase 1 is expressed in the liver, neutrophils, myeloid derived suppressor cells (MDSC) and neural stem cells. In human, expression in blood neutrophils but not in CCR3+ granulocytes has been reported. In mice, expression of Arginase 1 is one of the hallmarks of alternatively activated macrophages (M2a). Arginase-1 may be expressed in the myeloid cells infiltrating tumors, and is typically found in the majority of hepatocellular carcinomas. Defects in Arginase 1 are the cause of argininemia, an autosomal recessive disorder characterized by hyperammonemia.
Specifications
| Arginase 1 | |
| Polyclonal | |
| Unconjugated | |
| ARG1 | |
| AI; A-I; AI type I arginase; AI256583; Arg1; Arg-1; Arginase; arginase 1; arginase 1 liver; arginase 1, liver; arginase I; arginase, liver; Arginase1; arginase-1; HGNC:663; Liver Arginase; Liver-type arginase; PGIF; similar to arginase, type I; Type 1 Arginase; type I arginase | |
| Rabbit | |
| Antigen affinity chromatography | |
| RUO | |
| 11846, 29221, 383 | |
| Store at 4°C short term. For long term storage, store at -20°C, avoiding freeze/thaw cycles. | |
| Liquid |
| Immunohistochemistry (Paraffin), Western Blot | |
| 0.046 mg/mL | |
| PBS with 1% BSA and 0.1% sodium azide; pH 7.6 | |
| P05089, P07824, Q61176 | |
| ARG1 | |
| Synthetic peptide derived from the N-terminus of human arginase-1 protein. | |
| 500 μL | |
| Primary | |
| Human, Mouse, Rat | |
| Antibody | |
| IgG |
Safety and Handling
Your input is important to us. Please complete this form to provide feedback related to the content on this product.