Learn More
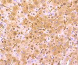
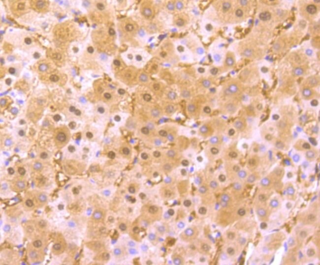
Invitrogen™ Arginase 1 Recombinant Rabbit Monoclonal Antibody (JB21-49)

Description
This product is predicted to work in Immunoprecipitation at a dilution of 1:10-1:50.
Specifications
Specifications
| Antigen | Arginase 1 |
| Applications | Immunohistochemistry (Paraffin), Western Blot |
| Classification | Recombinant Monoclonal |
| Clone | JB21-49 |
| Concentration | 1 mg/mL |
| Conjugate | Unconjugated |
| Formulation | TBS with 40% glycerol, 0.05% BSA and 0.05% sodium azide; pH 7.4 |
| Gene | ARG1 |
| Gene Accession No. | P05089 |
| Gene Alias | AI; A-I; AI type I arginase; AI256583; Arg1; Arg-1; Arginase; arginase 1; arginase 1 liver; arginase 1, liver; arginase I; arginase, liver; Arginase1; arginase-1; HGNC:663; Liver Arginase; Liver-type arginase; PGIF; similar to arginase, type I; Type 1 Arginase; type I arginase |
| Show More |
By clicking Submit, you acknowledge that you may be contacted by Fisher Scientific in regards to the feedback you have provided in this form. We will not share your information for any other purposes. All contact information provided shall also be maintained in accordance with our Privacy Policy.