Promotional price valid on web orders only. Your contract pricing may differ. Interested in signing up for a dedicated account number?
Learn More
Learn More
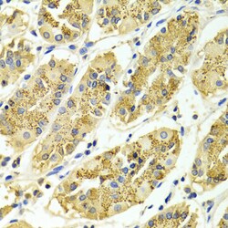
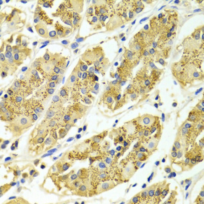
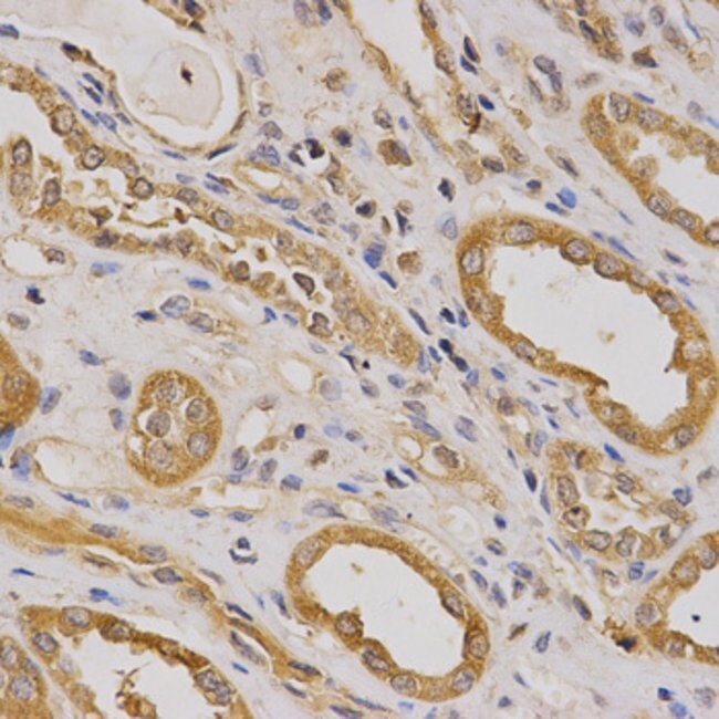
Invitrogen™ ARHGAP25 Polyclonal Antibody

Rabbit Polyclonal Antibody
Supplier: Invitrogen™ PA576000
Description
The antibody was affinity-purified from rabbit antiserum by affinity-chromatography using epitope-specific immunogen and the purity is > 95% (by SDS-PAGE).
ARHGAP25 encode negative regulators of Rho GTPases, which are implicated in actin remodeling, cell polarity, and cell migration.
Specifications
ARHGAP25 | |
Polyclonal | |
Unconjugated | |
ARHGAP25 | |
A130039I20Rik; ARHGAP25; epididymis secretory protein Li 308; HEL-S-308; KAIA0053; KIAA0053; RGD1562105; Rho GTPase activating protein 25; rho GTPase-activating protein 25; Rho-type GTPase-activating protein 25 | |
Rabbit | |
Antigen Affinity Chromatography | |
RUO | |
232201, 500246, 9938 | |
Store at 4°C short term. For long term storage, store at -20°C, avoiding freeze/thaw cycles. | |
Liquid |
Immunohistochemistry (Paraffin), Western Blot, Immunocytochemistry | |
1 mg/mL | |
PBS with 50% glycerol and 0.02% sodium azide; pH 7.2 | |
P42331, Q8BYW1 | |
ARHGAP25 | |
Recombinant full length Human ARHGAP25. | |
100 μL | |
Primary | |
Human, Mouse, Rat | |
Antibody | |
IgG |
Product Content Correction
Your input is important to us. Please complete this form to provide feedback related to the content on this product.
Product Title
Spot an opportunity for improvement?Share a Content Correction