Promotional price valid on web orders only. Your contract pricing may differ. Interested in signing up for a dedicated account number?
Learn More
Learn More
Invitrogen™ ARHGEF11 Polyclonal Antibody

Rabbit Polyclonal Antibody
Supplier: Invitrogen™ PA523162
Description
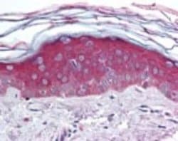
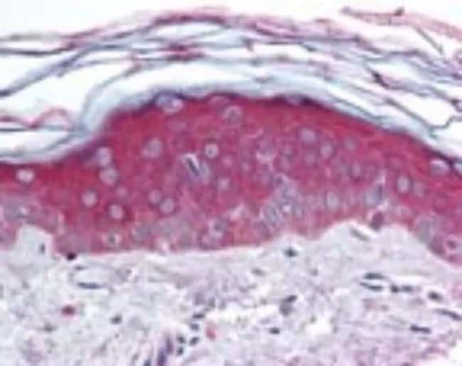
ARHGEF11 Polyclonal Antibody for Western Blot, IHC (P)
ARHGEF11 is a 1527 amino acid protein with tandem dbl homology and pleckstrin homology domains, PDZ domain, two proline rich sequences and a regulatory G protein-signaling (RGS) sequence. It acts as guanine nucleotide exchange factor (GEF) for RhoA GTPase, but not for RAC1 or CDC42 and acts as GTPase-activating protein (GAP) for GNA12 and GNA13. It forms a complex with G proteins and stimulates neurite through retraction Rho-dependent signals. ARHGEF11 increases glutamate transport 4-fold. It interacts with EAAT4 and modulates its uptake activity and perisynaptic distribution at glutamatergic synapses. It is known to induce the reorganization of the actin cytoskeleton and its overexpression induces the formation of membrane ruffling and filopodia. It is ubiquitously expressed, in brain, lung, liver, kidney and skeletal muscle.
Specifications
| ARHGEF11 | |
| Polyclonal | |
| Unconjugated | |
| ARHGEF11 | |
| Arhgef11; B930073M02; E130307F09; glutamate transporter EAAT4 associated protein 48; glutamate transporter EAAT4-associated protein 48; Gtrap48; KIAA0380; mKIAA0380; PDZ-RhoGEF; Prg; Rho guanine exchange factor (GEF) 11; Rho guanine nucleotide exchange factor (GEF) 11; rho guanine nucleotide exchange factor 11; RhoA-specific guanine nucleotide exchange factor; RhoGEF; RhoGEF glutamate transport modulator; RhoGEF glutamate transport modulator GTRAP48; RP11-356J7.2 | |
| Rabbit | |
| Antigen affinity chromatography | |
| RUO | |
| 511220, 78966, 9826 | |
| Store at 4°C short term. For long term storage, store at -20°C, avoiding freeze/thaw cycles. | |
| Liquid |
| Immunohistochemistry (Paraffin), Western Blot | |
| 0.5 mg/mL | |
| PBS with 0.2% gelatin and 0.05% sodium azide | |
| O15085, Q9ES67 | |
| ARHGEF11 | |
| A portion of amino acids 1-50 of human ARHGEF11. | |
| 100 μg | |
| Primary | |
| Human, Rat, Monkey, Bovine | |
| Antibody | |
| IgG |
Safety and Handling
WARNING: Cancer - www.P65Warnings.ca.gov
Product Content Correction
Your input is important to us. Please complete this form to provide feedback related to the content on this product.
Product Title
Spot an opportunity for improvement?Share a Content Correction