Learn More
Invitrogen™ ARHGEF16 Polyclonal Antibody

Description
Immunogen sequence: ILTSEFSYQH SLSILVEEFL QSKELRATVT QMEHHHLFSN ILDVLGASQR FFEDLEQRHK AQVLVEDISD ILEEHAEKYF HPYIAYCSNE VYQQRTLQKL ISSNAAFREA LREIERRPAC GGLPMLSFLI LPMQRVTRLP LLMDTLC Highest antigen sequence identity to the following orthologs: Mouse - 85%, Rat - 84%.
Specifications
Specifications
| Antigen | ARHGEF16 |
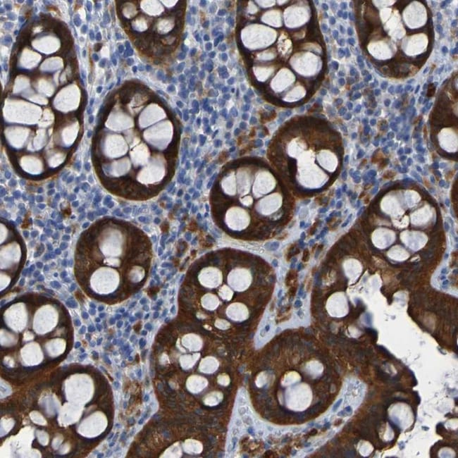
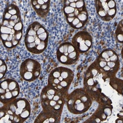
| Applications | Immunohistochemistry (Paraffin), Western Blot |
| Classification | Polyclonal |
| Concentration | 0.1 mg/mL |
| Conjugate | Unconjugated |
| Formulation | PBS with 40% glycerol and 0.02% sodium azide; pH 7.2 |
| Gene | Arhgef16 |
| Gene Accession No. | Q5VV41 |
| Gene Alias | Arhgef16; EPHEXIN4; Ephexin-4; GEF16; NBR; Neuroblastoma; Rho guanine exchange factor (GEF) 16; Rho guanine nucleotide exchange factor (GEF) 16; Rho guanine nucleotide exchange factor 16 |
| Gene Symbols | Arhgef16 |
| Show More |
Safety and Handling
By clicking Submit, you acknowledge that you may be contacted by Fisher Scientific in regards to the feedback you have provided in this form. We will not share your information for any other purposes. All contact information provided shall also be maintained in accordance with our Privacy Policy.