Promotional price valid on web orders only. Your contract pricing may differ. Interested in signing up for a dedicated account number?
Learn More
Learn More
Invitrogen™ ARK5 Polyclonal Antibody

Rabbit Polyclonal Antibody
Supplier: Invitrogen™ PA515328
Description
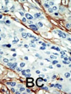
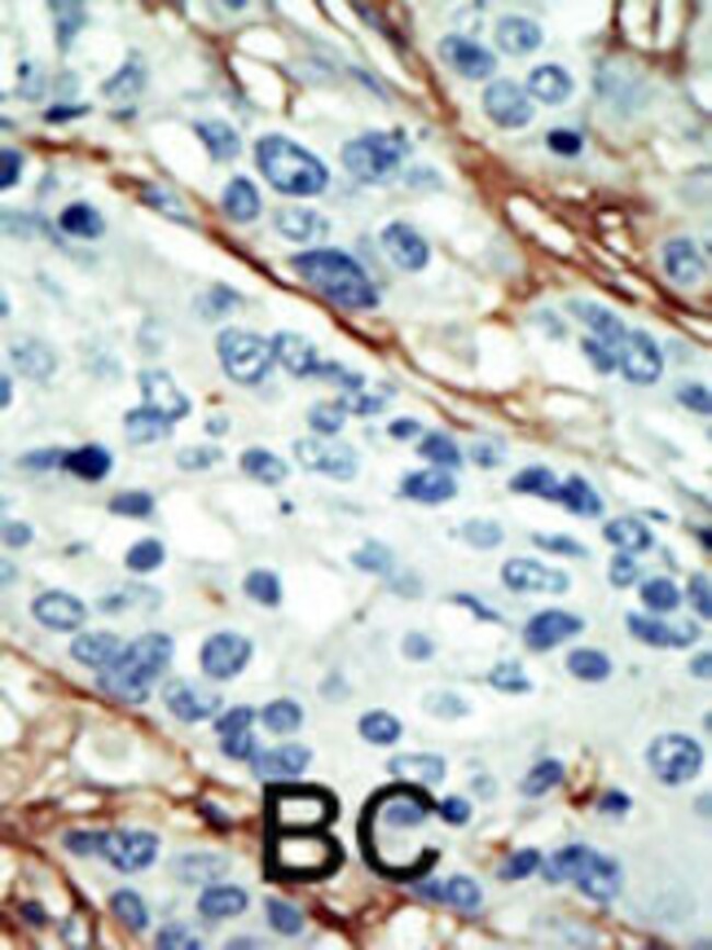
ARK5 Polyclonal Antibody for Western Blot, IHC (P)
NUAK1 (ARK5) is a serine/threonine kinase that plays a role in many cellular functions. The overexpression of this kinase has been associated with tumor invasion and metastasis (colorectal neoplasm). Acts as a regulator of cellular senescence and cellular ploidy by mediating phosphorylation of 'Ser-464' of LATS1, thereby controlling its stability. Controls cell adhesion by regulating activity of the myosin protein phosphatase 1 (PP1) complex. Acts by mediating phosphorylation of PPP1R12A subunit of myosin PP1: phosphorylated PPP1R12A then interacts with 14-3-3, leading to reduced dephosphorylation of myosin MLC2 by myosin PP1. May be involved in DNA damage response: phosphorylates p53/TP53 at 'Ser-15' and 'Ser-392' and is recruited to the CDKN1A/WAF1 promoter to participate in transcription activation by p53/TP53. May also act as a tumor malignancy-associated factor by promoting tumor invasion and metastasis under regulation and phosphorylation by AKT1. Suppresses Fas-induced apoptosis by mediating phosphorylation of CASP6, thereby suppressing the activation of the caspase and the subsequent cleavage of CFLAR. Regulates UV radiation-induced DNA damage response mediated by CDKN1A. In association with STK11, phosphorylates CDKN1A in response to UV radiation and contributes to its degradation which is necessary for optimal DNA repair.
Specifications
| ARK5 | |
| Polyclonal | |
| Unconjugated | |
| NUAK1 | |
| AMP-activated protein kinase family member 5; AMPK-related protein kinase 5; ARK5; AU014801; AW494241; B230104P22Rik; I79_017442; KIAA0537; NUAK family kinase 1; NUAK family SNF1-like kinase 1; NUAK family, SNF1-like kinase, 1; Nuak1; Omphalocele kinase 1; Omphk1; RGD1309956; ZNUAK family, SNF1-like kinase, 1 | |
| Rabbit | |
| Ammonium sulfate precipitation, Size-exclusion - Dialysis | |
| RUO | |
| 77976, 9891 | |
| Store at 4°C short term. For long term storage, store at -20°C, avoiding freeze/thaw cycles. | |
| Liquid |
| Immunohistochemistry (Paraffin), Western Blot | |
| 2 mg/mL | |
| PBS with 0.09% sodium azide; pH 7.4 | |
| O60285, Q641K5 | |
| NUAK1 | |
| KLH conjugated synthetic peptide between 604-634 amino acids from the C-terminal region of human ARK5. | |
| 200 μL | |
| Primary | |
| Human, Mouse | |
| Antibody | |
| IgG |
Product Content Correction
Your input is important to us. Please complete this form to provide feedback related to the content on this product.
Product Title
Spot an opportunity for improvement?Share a Content Correction