Promotional price valid on web orders only. Your contract pricing may differ. Interested in signing up for a dedicated account number?
Learn More
Learn More
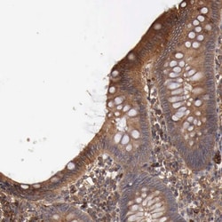
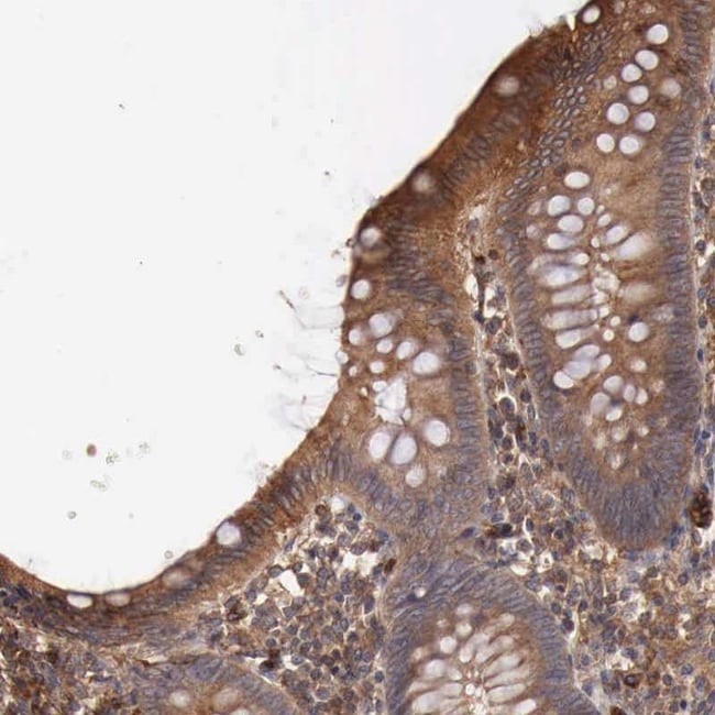
Invitrogen™ ARMCX4 Polyclonal Antibody

Rabbit Polyclonal Antibody
Supplier: Invitrogen™ PA551388
Description
Immunogen sequence: GRAQSVRTLA RNGSTVKMET VVGVQSQTLA INEAEIKTKP QVEIGAETGA RSGPRAEVET KATAIAIHRA NSQAKAMVGA EPETQSESKV VAGTLVMTEA VTLTEVKAKA REVAMKEAVT QTDAEAGKIV KKEAVTQTKA Highest antigen sequence identity to the following orthologs: Mouse - 55%, Rat - 53%.
The product of this gene belongs to the armadillo repeat-containing family of proteins, which interact with other proteins in a variety of cellular processes. The function of this family member is currently unknown. Alternative splicing of this gene results in multiple transcript variants. [provided by RefSeq, Jan 2012].
Specifications
| ARMCX4 | |
| Polyclonal | |
| Unconjugated | |
| ARMCX4 | |
| armadillo repeat containing, X-linked 4; armadillo repeat containing, X-linked 4 pseudogene; armadillo repeat-containing X-linked protein 4; ARMCX4; CXorf35; GASP4 | |
| Rabbit | |
| Antigen Affinity Chromatography | |
| RUO | |
| 100131755 | |
| Store at 4°C short term. For long term storage, store at -20°C, avoiding freeze/thaw cycles. | |
| Liquid |
| Immunohistochemistry (Paraffin) | |
| 0.05 mg/mL | |
| PBS with 40% glycerol and 0.02% sodium azide; pH 7.2 | |
| Q5H9R4 | |
| ARMCX4 | |
| Recombinant protein corresponding to Human ARMCX4. Recombinant protein control fragment (Product #RP-92015). | |
| 100 μL | |
| Primary | |
| Human | |
| Antibody | |
| IgG |
Product Content Correction
Your input is important to us. Please complete this form to provide feedback related to the content on this product.
Product Title
Spot an opportunity for improvement?Share a Content Correction