Promotional price valid on web orders only. Your contract pricing may differ. Interested in signing up for a dedicated account number?
Learn More
Learn More
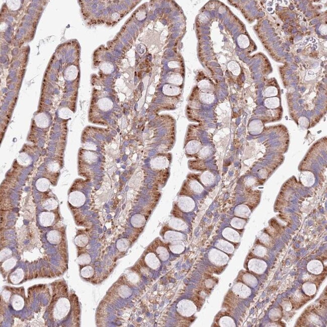
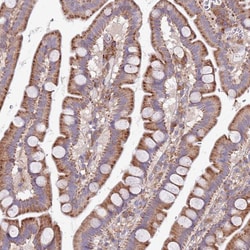
Invitrogen™ ARMCX6 Polyclonal Antibody

Rabbit Polyclonal Antibody
Supplier: Invitrogen™ PA561659
Description
Immunogen sequence: LKFPLISEGS GCAKVQVLKP LMGLSEKPVL AGELVGAQML FSFMSLFIRN GNREILLETP AP Highest antigen sequence identity to the following orthologs: Mouse - 65%, Rat - 66%.
May regulate the dynamics and distribution of mitochondria in neural cells. [UniProt].
Specifications
| ARMCX6 | |
| Polyclonal | |
| Unconjugated | |
| ARMCX6 | |
| arm protein lost in epithelial cancers, X chromosome, 3; armadillo repeat containing X-linked 6; armadillo repeat containing, X-linked 6; Armcx6; AW060994; GASP10; protein ARMCX6 | |
| Rabbit | |
| Antigen affinity chromatography | |
| RUO | |
| 54470 | |
| Store at 4°C short term. For long term storage, store at -20°C, avoiding freeze/thaw cycles. | |
| Liquid |
| Immunohistochemistry (Paraffin), Immunocytochemistry | |
| 0.1 mg/mL | |
| PBS with 40% glycerol and 0.02% sodium azide; pH 7.2 | |
| Q7L4S7 | |
| ARMCX6 | |
| Recombinant protein corresponding to Human ARMCX6. Recombinant protein control fragment (Product #RP-99276). | |
| 100 μL | |
| Primary | |
| Human | |
| Antibody | |
| IgG |
Safety and Handling
WARNING: Cancer - www.P65Warnings.ca.gov
Product Content Correction
Your input is important to us. Please complete this form to provide feedback related to the content on this product.
Product Title
Spot an opportunity for improvement?Share a Content Correction