Promotional price valid on web orders only. Your contract pricing may differ. Interested in signing up for a dedicated account number?
Learn More
Learn More
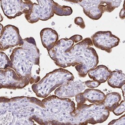
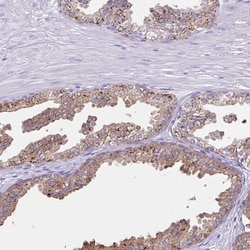
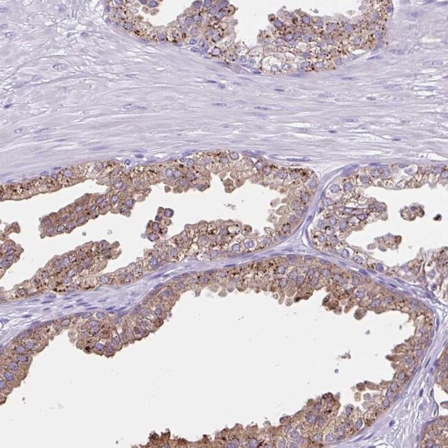
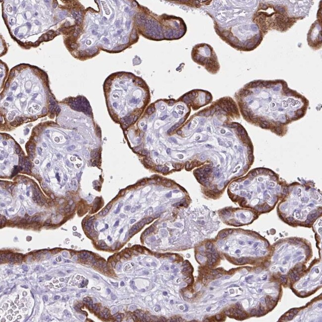
Invitrogen™ Aromatase Polyclonal Antibody

Rabbit Polyclonal Antibody
Supplier: Invitrogen™ PA5111329
Description
Immunogen sequence: IGERDIKIDD IQKLKVMENF IYESMRYQPV VDLVMRKALE DDVIDGYPVK KGTNIILNIG RMHRLEFFPK PNEFTL.
This gene encodes a member of the cytochrome P450 superfamily of enzymes. The cytochrome P450 proteins are monooxygenases which catalyze many reactions involved in drug metabolism and synthesis of cholesterol, steroids and other lipids. This protein localizes to the endoplasmic reticulum and catalyzes the last steps of estrogen biosynthesis, three successive hydroxylations of the A ring of androgens. Mutations in this gene can result in either increased or decreased aromatase activity; the associated phenotypes suggest that estrogen functions both as a sex steroid hormone and in growth or differentiation. The gene expresses two transcript variants.
Specifications
| Aromatase | |
| Polyclonal | |
| Unconjugated | |
| Cyp19a1 | |
| Ar; ArKO; ARO; ARO1; Arom; Aromatase; aromatase 1; aromatase cytochrome P450; aromatase cytochrome P450 19A1; CPV1; CYAR; Cyp19; Cyp19a; Cyp19a1; CYP19P1; CYPXIX; CYPXIXA1; Cytochrome P450 17-alpha; cytochrome P450 19 type I; Cytochrome P450 19A1; cytochrome P450 aromatase; cytochrome P-450 aromatase; cytochrome P-450 aromatase (alt.); cytochrome P450 family 19 subfamily a; cytochrome P450 family 19 subfamily A member 1; Cytochrome P450, 19, aromatase; cytochrome P450, family 17, subfamily A, polypeptide 1; cytochrome P450, family 19, subfamily A, polypeptide 1; cytochrome P450, family XIX (conversion of androgen to estrogen), aromatase; cytochrome P450, family19, subfamily A, polypeptide 1; cytochrome P450, subfamily 19; cytochrome P450, subfamily XIX (aromatization of androgens); cytochrome P-450AROM; estrogen synthase; estrogen synthetase; flavoprotein-linked monooxygenase; Int5; Int-5; MGC104309; microsomal monooxygenase; P450AROM; P-450AROM; type III cytochrome p450 aromatase | |
| Rabbit | |
| Antigen Affinity Chromatography | |
| RUO | |
| 1588 | |
| Store at 4°C short term. For long term storage, store at -20°C, avoiding freeze/thaw cycles. | |
| Liquid |
| Immunohistochemistry (Paraffin), Immunocytochemistry | |
| 0.10 mg/mL | |
| PBS with 40% glycerol and 0.02% sodium azide; pH 7.2 | |
| P11511 | |
| Cyp19a1 | |
| Recombinant Protein corresonding to Human Aromatase. Recombinant protein control fragment (Product #RP-101314). | |
| 100 μL | |
| Primary | |
| Human | |
| Antibody | |
| IgG |
Product Content Correction
Your input is important to us. Please complete this form to provide feedback related to the content on this product.
Product Title
Spot an opportunity for improvement?Share a Content Correction