Promotional price valid on web orders only. Your contract pricing may differ. Interested in signing up for a dedicated account number?
Learn More
Learn More
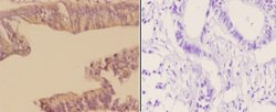
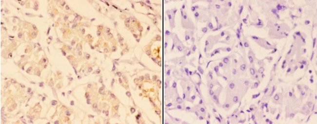
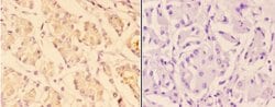
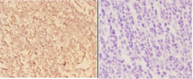
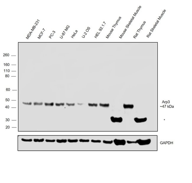
Invitrogen™ Arp3 Polyclonal Antibody

Rabbit Polyclonal Antibody
Supplier: Invitrogen™ PA575484
Description
The antibody was affinity-purified from rabbit antiserum by affinity-chromatography using epitope-specific immunogen and the purity is > 95% (by SDS-PAGE).
The specific function of this gene has not yet been determined; however, the protein it encodes is known to be a major constituent of the ARP2/3 complex. This complex is located at the cell surface and is essential to cell shape and motility through lamellipodial actin assembly and protrusion.
Specifications
Arp3 | |
Polyclonal | |
Unconjugated | |
ACTR3 | |
1200003A09Rik; Actin-like protein 3; actin-related protein 3; actin-related protein 3 homolog (yest); ACTR3; Arp3; ARP3 actin related protein 3 homolog; ARP3 actin-related protein 3; ARP3 actin-related protein 3 homolog; ARP3 actin-related protein 3 homolog (yeast) | |
Rabbit | |
Antigen affinity chromatography | |
RUO | |
10096, 74117, 81732 | |
Store at 4°C short term. For long term storage, store at -20°C, avoiding freeze/thaw cycles. | |
Liquid |
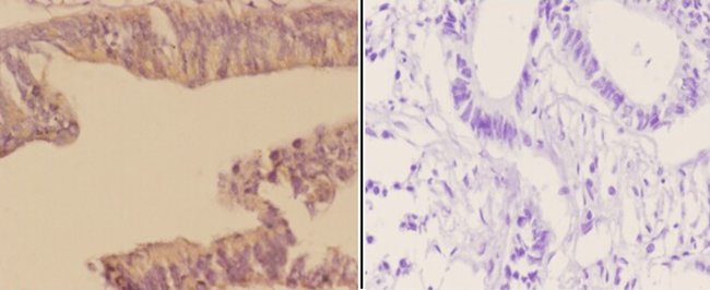
Immunohistochemistry (Paraffin), Western Blot | |
1 mg/mL | |
PBS with 50% glycerol and 0.02% sodium azide; pH 7.2 | |
P61158, Q4V7C7, Q99JY9 | |
ACTR3 | |
Synthetic peptide corresponding to residues in Human Arp3. | |
100 μL | |
Primary | |
Human, Mouse, Rat | |
Antibody | |
IgG |
Product Content Correction
Your input is important to us. Please complete this form to provide feedback related to the content on this product.
Product Title
Spot an opportunity for improvement?Share a Content Correction