Learn More
Invitrogen™ ARPC2 Polyclonal Antibody

Rabbit Polyclonal Antibody
Supplier: Invitrogen™ PA521405
Description
Recommended positive controls: 293T, HeLaS3, mouse kidney, rat kidney. Predicted reactivity: Mouse (99%), Rat (99%), Zebrafish (87%), Xenopus laevis (92%), Pig (99%), Rhesus Monkey (100%), Bovine (99%). Store product as a concentrated solution. Centrifuge briefly prior to opening the vial.
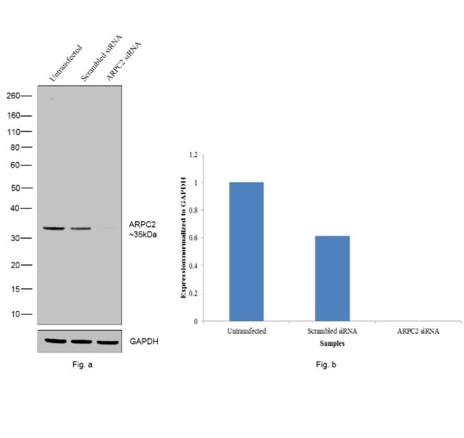
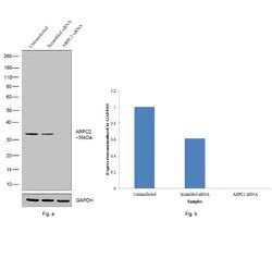
This gene encodes one of seven subunits of the human Arp2/3 protein complex. The Arp2/3 protein complex has been implicated in the control of actin polymerization in cells and has been conserved through evolution. The exact role of the protein encoded by this gene, the p34 subunit, has yet to be determined. Two alternatively spliced variants have been characterized to date. Additional alternatively spliced variants have been described but their full length nature has not been determined.
Specifications
| ARPC2 | |
| Polyclonal | |
| Unconjugated | |
| ARPC2 | |
| 2210023N03Rik; 34kDa; actin related protein 2/3 complex subunit 2; actin related protein 2/3 complex subunit 2, 34kDa; actin related protein 2/3 complex, subunit 2; actin related protein 2/3 complex, subunit 2, 34kDa; actin-related protein 2/3 complex subunit 2; actin-related protein 2/3 complex subunit 2 {ECO:0000250; ARC34; Arp2/3 complex 34 kDa subunit; arp2/3 complex 34 kDa subunit {ECO:0000250; ARP2/3 protein complex subunit 34; ARPC2; arpc2 {ECO:0000250; p34-ARC; p34-ARC {ECO:0000250; PNAS-139; PRO2446; testis tissue sperm-binding protein Li 53e; UniProtKB:O15144} | |
| Rabbit | |
| Antigen affinity chromatography | |
| RUO | |
| 10109, 301511, 76709 | |
| Store at 4°C short term. For long term storage, store at -20°C, avoiding freeze/thaw cycles. | |
| Liquid |
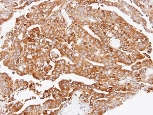
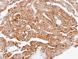
| Immunohistochemistry (Paraffin), Western Blot, Immunocytochemistry | |
| 1 mg/mL | |
| PBS with 20% glycerol and 0.025% ProClin 300; pH 7 | |
| O15144, P85970, Q9CVB6 | |
| ARPC2 | |
| Recombinant protein encompassing a sequence within the center region of human ARPC2. The exact sequence is proprietary. | |
| 100 μL | |
| Primary | |
| Human, Mouse, Rat | |
| Antibody | |
| IgG |
Your input is important to us. Please complete this form to provide feedback related to the content on this product.