Promotional price valid on web orders only. Your contract pricing may differ. Interested in signing up for a dedicated account number?
Learn More
Learn More
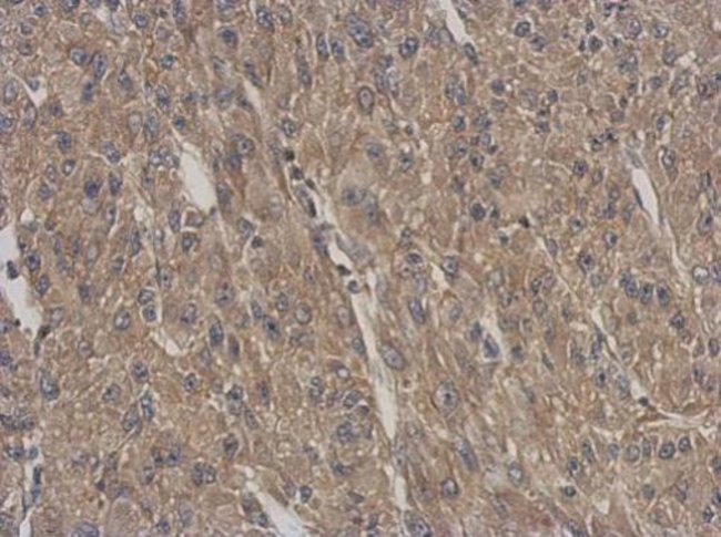
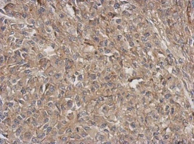
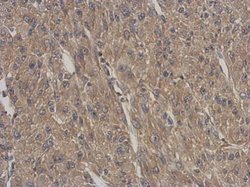
Invitrogen™ ARPC5L Polyclonal Antibody

Rabbit Polyclonal Antibody
Supplier: Invitrogen™ PA531754
Description
Recommended positive controls: U87-MG. Predicted reactivity: Mouse (96%), Rat (94%), Pig (99%), Bovine (98%). Store product as a concentrated solution. Centrifuge briefly prior to opening the vial.
May function as component of the Arp2/3 complex which is involved in regulation of actin polymerization and together with an activating nucleation-promoting factor (NPF) mediates the formation of branched actin networks.
Specifications
ARPC5L | |
Polyclonal | |
Unconjugated | |
ARPC5L | |
2010015J01Rik; actin related protein 2/3 complex subunit 5 like; actin related protein 2/3 complex subunit 5-like; actin related protein 2/3 complex, subunit 5-like; actin-related protein 2/3 complex subunit 5-like protein; AI852867; ARC16-2; arp2/3 complex 16 kDa subunit 2; Arpc5l; AW555592; AW742746 | |
Rabbit | |
Antigen affinity chromatography | |
RUO | |
296710, 81873 | |
Store at 4°C short term. For long term storage, store at -20°C, avoiding freeze/thaw cycles. | |
Liquid |
Immunohistochemistry (Paraffin), Western Blot | |
1 mg/mL | |
0.1M tris glycine with 20% glycerol and 0.01% thimerosal; pH 7 | |
A1L108, Q9BPX5 | |
ARPC5L | |
Recombinant protein encompassing a sequence within the center region of human ARPC5L. The exact sequence is proprietary. | |
100 μL | |
Primary | |
Human, Rat | |
Antibody | |
IgG |
Product Content Correction
Your input is important to us. Please complete this form to provide feedback related to the content on this product.
Product Title
Spot an opportunity for improvement?Share a Content Correction