Promotional price valid on web orders only. Your contract pricing may differ. Interested in signing up for a dedicated account number?
Learn More
Learn More
Invitrogen™ ASB9 Polyclonal Antibody

Rabbit Polyclonal Antibody
Supplier: Invitrogen™ PA521827
Description
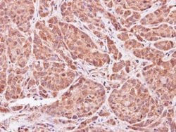
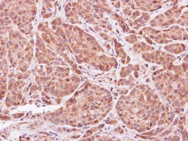
Recommended positive controls: HeLaS3, HepG2, Molt-4. Store product as a concentrated solution. Centrifuge briefly prior to opening the vial.
Substrate-recognition component of a SCF-like ECS (Elongin-Cullin-SOCS-box protein) E3 ubiquitin-protein ligase complex which mediates the ubiquitination and subsequent proteasomal degradation of target proteins. Recognizes at least two forms of creatine kinase, CKB and CKMT1A.
Specifications
| ASB9 | |
| Polyclonal | |
| Unconjugated | |
| Asb9 | |
| 1700011M07Rik; ankyrin repeat and SOCS box containing 9; ankyrin repeat and SOCS box protein 9; ankyrin repeat and SOCS box-containing 9; ankyrin repeat and SOCS box-containing protein 9; ankyrin repeat and suppressor of cytokine signaling box protein 9; Asb9; ASB-9; DKFZp564L0862; FLJ20636; MGC4954; testis tissue sperm-binding protein Li 57p | |
| Rabbit | |
| Antigen affinity chromatography | |
| RUO | |
| 140462 | |
| Store at 4°C short term. For long term storage, store at -20°C, avoiding freeze/thaw cycles. | |
| Liquid |
| Immunohistochemistry (Paraffin), Western Blot, Immunocytochemistry | |
| 1 mg/mL | |
| 0.1M tris glycine with 10% glycerol and 0.01% thimerosal; pH 7 | |
| Q96DX5 | |
| Asb9 | |
| Recombinant protein encompassing a sequence within the center region of human ASB9. The exact sequence is proprietary. | |
| 100 μL | |
| Primary | |
| Human | |
| Antibody | |
| IgG |
Safety and Handling
WARNING: Cancer - www.P65Warnings.ca.gov
Product Content Correction
Your input is important to us. Please complete this form to provide feedback related to the content on this product.
Product Title
Spot an opportunity for improvement?Share a Content Correction