Learn More
Invitrogen™ ASC1 Polyclonal Antibody

Description
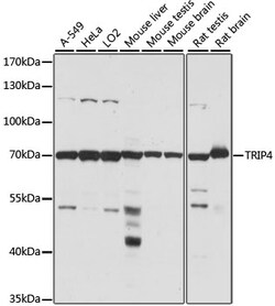
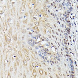
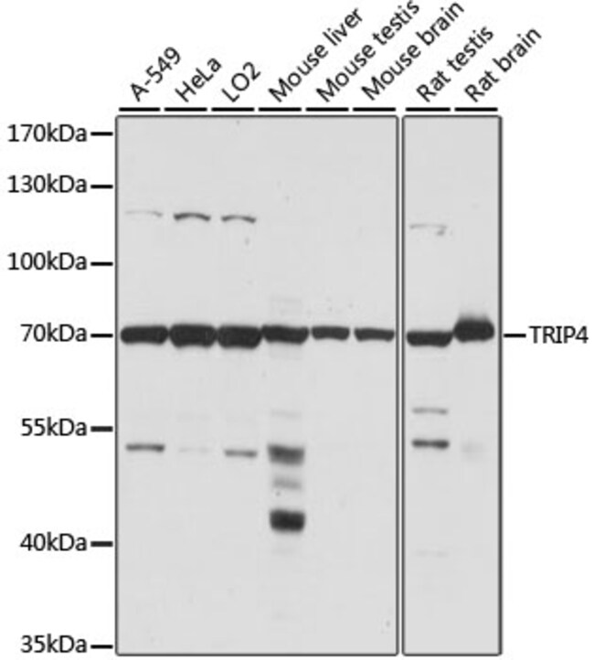
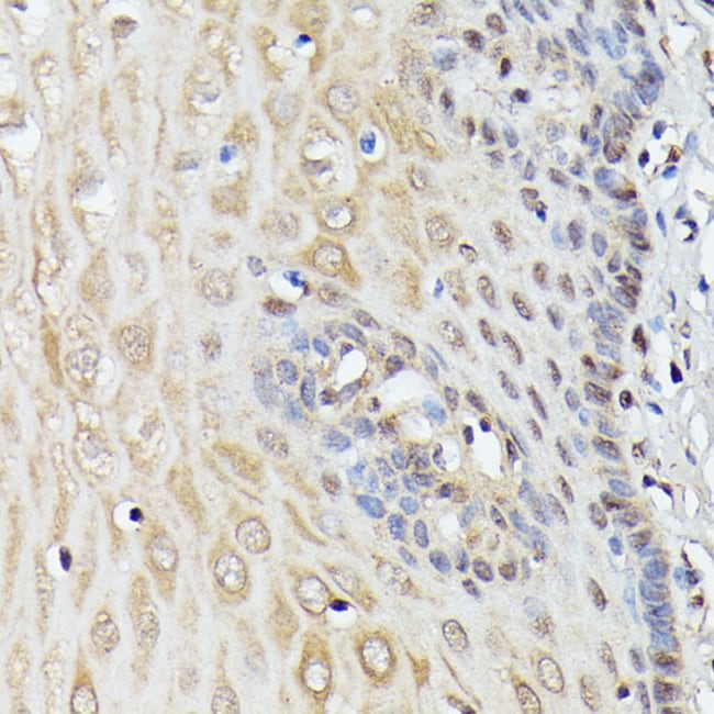
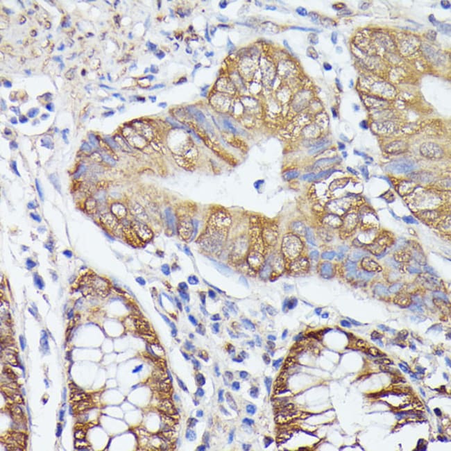
Immunogen sequence: VIDDESDYFA SDSNQWLSKL ERETLQKREE ELRELRHASR LSKKVTIDFA GRKILEEENS LAEYHSRLDE TIQAIANGTL NQPLTKLDRS SEEPLGVLVN PNMYQSPPQW VDHTGAASQK KAFRSSGFGL EFNSFQHQLR IQDQEFQEGF DGGWCLSVHQ PWASLLVRGI KRVEGRSWYT PHRGRLWIAA TAKKPSPQEV SELQATYRLL RGKDVEFPND YPSGCLLGCV DLIDCLSQKQ FKEQFPDISQ ESDSPFVFIC KNPQEMVVKF PIKGNPKIWK LDSKIHQGAK KGLMKQNKAV; Positive Samples: A-549, HeLa, LO2, Mouse liver, Mouse testis, Mouse brain, Rat testis, Rat brain; Cellular Location: Cytoplasm, Nucleus, centrosome, cytoskeleton, cytosol, microtubule organizing center.
Specifications
Specifications
| Antigen | ASC1 |
| Applications | ELISA, Immunohistochemistry (Paraffin), Immunoprecipitation, Western Blot |
| Classification | Polyclonal |
| Concentration | 0.94 mg/mL |
| Conjugate | Unconjugated |
| Formulation | PBS with 50% glycerol and 0.01% thimerosal; pH 7.3 |
| Gene | Trip4 |
| Gene Accession No. | Q15650, Q9QXN3 |
| Gene Alias | 4930558E03Rik; Activating signal cointegrator 1; Asc1; ASC-1; BB191711; HsT17391; SMABF1; thyroid hormone receptor interactor 4; thyroid receptor-interacting protein 4; transcription coactivator Asc1; TR-interacting protein 4; TRIP4; TRIP-4; ZC2HC5; zinc finger, C2HC5-type |
| Gene Symbols | Trip4 |
| Show More |
Safety and Handling
By clicking Submit, you acknowledge that you may be contacted by Fisher Scientific in regards to the feedback you have provided in this form. We will not share your information for any other purposes. All contact information provided shall also be maintained in accordance with our Privacy Policy.