Promotional price valid on web orders only. Your contract pricing may differ. Interested in signing up for a dedicated account number?
Learn More
Learn More
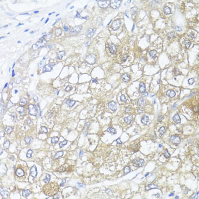
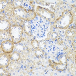
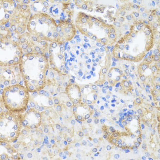
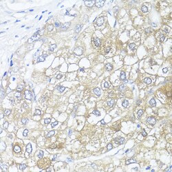
Invitrogen™ ASL Polyclonal Antibody

Rabbit Polyclonal Antibody
Supplier: Invitrogen™ PA587213
Description
Purity is > 95% by SDS-PAGE.
ASL encodes a member of the lyase 1 family. The encoded protein forms a cytosolic homotetramer and primarily catalyzes the reversible hydrolytic cleavage of argininosuccinate into arginine and fumarate, an essential step in the liver in detoxifying ammonia via the urea cycle. Mutations in this gene result in the autosomal recessive disorder argininosuccinic aciduria, or argininosuccinic acid lyase deficiency. A nontranscribed pseudogene is also located on the long arm of chromosome 22. Alternatively spliced transcript variants encoding different isoforms have been described.
Specifications
| ASL | |
| Polyclonal | |
| Unconjugated | |
| ASL | |
| 2510006M18Rik; argininosuccinase; argininosuccinate lyase; Arginosuccinase; ASAL; Asl | |
| Rabbit | |
| Antigen affinity chromatography | |
| RUO | |
| 109900, 435, 59085 | |
| Store at 4°C short term. For long term storage, store at -20°C, avoiding freeze/thaw cycles. | |
| Liquid |
| Immunohistochemistry (Paraffin), Western Blot, Immunocytochemistry | |
| 1 mg/mL | |
| PBS with 50% glycerol and 0.02% sodium azide; pH 7.2 | |
| P04424, P20673, Q91YI0 | |
| ASL | |
| Recombinant full length Human ASL. | |
| 100 μL | |
| Primary | |
| Human, Mouse, Rat | |
| Antibody | |
| IgG |
Safety and Handling
WARNING: Cancer - www.P65Warnings.ca.gov
Product Content Correction
Your input is important to us. Please complete this form to provide feedback related to the content on this product.
Product Title
Spot an opportunity for improvement?Share a Content Correction