Promotional price valid on web orders only. Your contract pricing may differ. Interested in signing up for a dedicated account number?
Learn More
Learn More
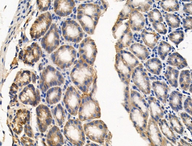
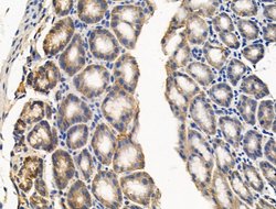
Invitrogen™ ASM Polyclonal Antibody

Rabbit Polyclonal Antibody
Supplier: Invitrogen™ PA5114811
Description
Antibody detects endogenous levels of total Acid sphingomyelinase.
The protein encoded by this gene is a lysosomal acid sphingomyelinase that converts sphingomyelin to ceramide. The encoded protein also has phospholipase C activity. Defects in this gene are a cause of Niemann-Pick disease type A (NPA) and Niemann-Pick disease type B (NPB). Three transcript variants encoding two different isoforms have been found for this gene.
Specifications
ASM | |
Polyclonal | |
Unconjugated | |
Smpd1 | |
Acid sphingomyelinase; ASM; aSMase; A-SMase; NPD; Smpd1; Sphingomyelin phosphodiesterase; sphingomyelin phosphodiesterase 1; sphingomyelin phosphodiesterase 1, acid lysosomal; Zn-SMase | |
Rabbit | |
Affinity chromatography | |
RUO | |
20597, 308909, 6609 | |
-20°C | |
Liquid |
Immunohistochemistry (Paraffin), Western Blot, Immunocytochemistry | |
1 mg/mL | |
PBS with 50% glycerol and 0.02% sodium azide | |
P17405, Q04519 | |
Smpd1 | |
A synthesized peptide derived from human SMPD1(Accession P17405), corresponding to amino acid residues L556-L606. | |
100 μL | |
Primary | |
Human, Mouse, Rat | |
Antibody | |
IgG |
Product Content Correction
Your input is important to us. Please complete this form to provide feedback related to the content on this product.
Product Title
Spot an opportunity for improvement?Share a Content Correction