Promotional price valid on web orders only. Your contract pricing may differ. Interested in signing up for a dedicated account number?
Learn More
Learn More
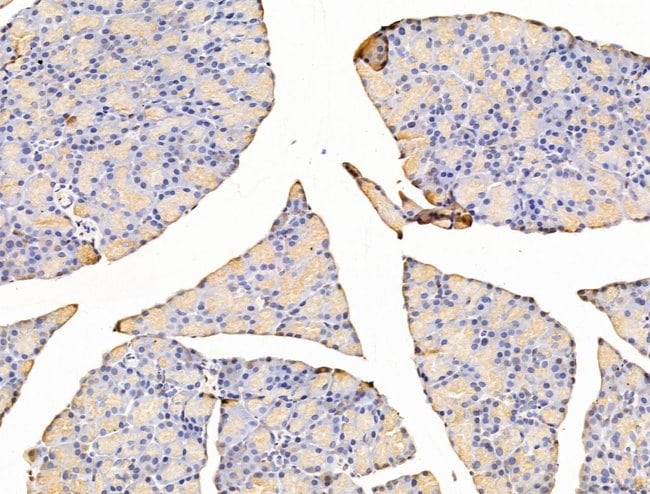
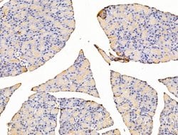
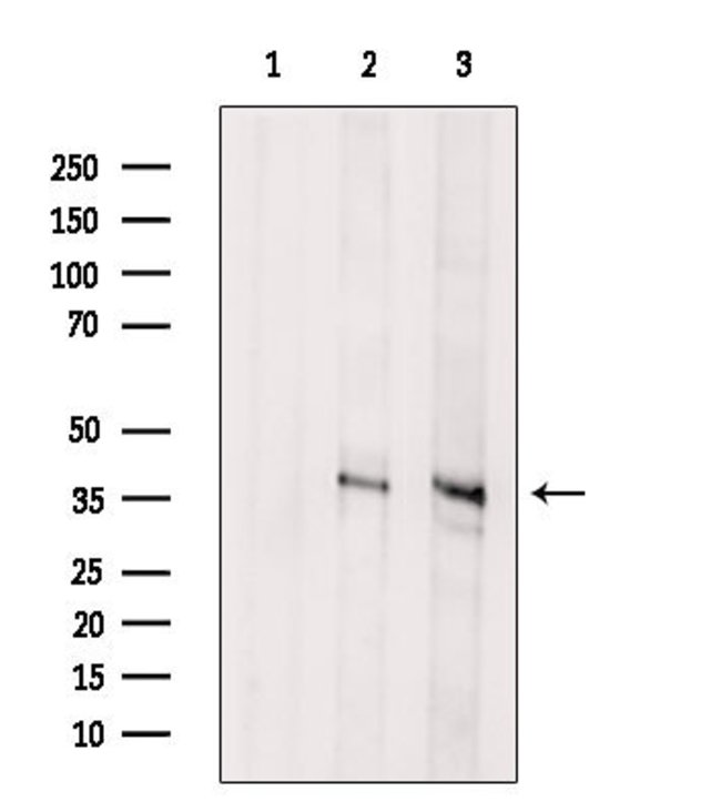
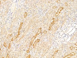
Invitrogen™ Asporin Polyclonal Antibody

Rabbit Polyclonal Antibody
Supplier: Invitrogen™ PA5114883
Description
Antibody detects endogenous levels of total Asporin.
ASPN belongs to a family of leucine-rich repeat (LRR) proteins associated with the cartilage matrix. The name asporin reflects the unique aspartate-rich N terminus and the overall similarity to decorin.
Specifications
| Asporin | |
| Polyclonal | |
| Unconjugated | |
| Aspn | |
| 4631401G09Rik; AA986886; ASPN; Asporin; asporin (LRR class 1); asporin proteoglycan; FLJ20129; OS3; periodontal ligament associated protein 1; periodontal ligament-associated protein 1; PLAP1; PLAP-1; SLRR1C; small leucine-rich protein 1C; UNQ215/PRO241 | |
| Rabbit | |
| Affinity Chromatography | |
| RUO | |
| 306805, 54829, 66695 | |
| -20°C | |
| Liquid |
| Immunohistochemistry (Paraffin), Western Blot | |
| 1 mg/mL | |
| PBS with 50% glycerol and 0.02% sodium azide | |
| Q99MQ4, Q9BXN1 | |
| Aspn | |
| A synthesized peptide derived from human ASPN(Accession Q9BXN1), corresponding to amino acid residues L311-P361. | |
| 100 μL | |
| Primary | |
| Human, Mouse, Rat | |
| Antibody | |
| IgG |
Safety and Handling
WARNING: Cancer - www.P65Warnings.ca.gov
Product Content Correction
Your input is important to us. Please complete this form to provide feedback related to the content on this product.
Product Title
Spot an opportunity for improvement?Share a Content Correction