Promotional price valid on web orders only. Your contract pricing may differ. Interested in signing up for a dedicated account number?
Learn More
Learn More
Invitrogen™ ASTL Polyclonal Antibody

Rabbit Polyclonal Antibody
Supplier: Invitrogen™ PA5144141
Description
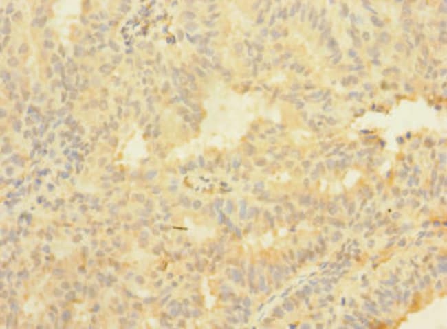
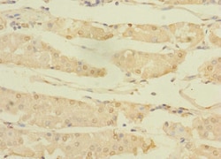
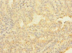
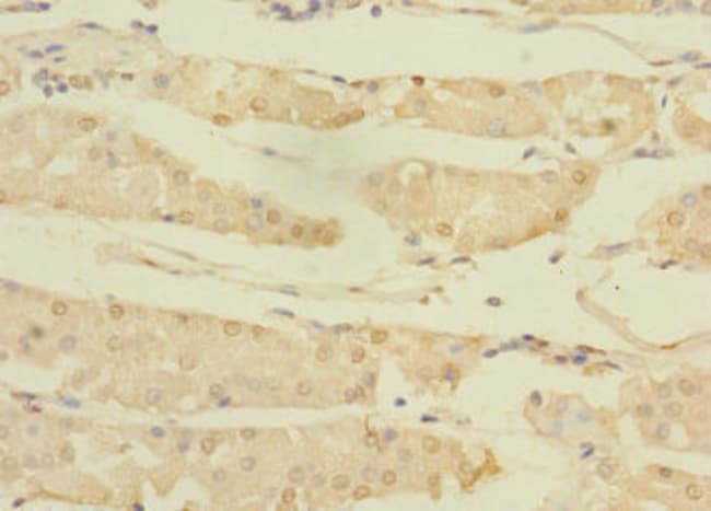
ASTL Polyclonal Antibody for IHC (P), ELISA
Specifications
| ASTL | |
| Polyclonal | |
| Unconjugated | |
| ASTL | |
| astacin-like metalloendopeptidase; astacin-like metalloendopeptidase (M12 family); astacin-like metallo-endopeptidase (M12 family); ASTL; Oocyte astacin; ovastacin; SAS1B; sperm acrosomal SLLP1 binding | |
| Rabbit | |
| Protein G | |
| RUO | |
| 431705 | |
| -20°C or -80°C if preferred | |
| Liquid |
| ELISA, Immunohistochemistry (Paraffin) | |
| 1 mg/mL | |
| PBS with 50% glycerol and 0.03% Proclin 300; pH 7.4 | |
| Q6HA08 | |
| ASTL | |
| Recombinant Human Astacin-like metalloendopeptidase protein (38-337AA). | |
| 100 μg | |
| Primary | |
| Human | |
| Antibody | |
| IgG |
Product Content Correction
Your input is important to us. Please complete this form to provide feedback related to the content on this product.
Product Title
Spot an opportunity for improvement?Share a Content Correction